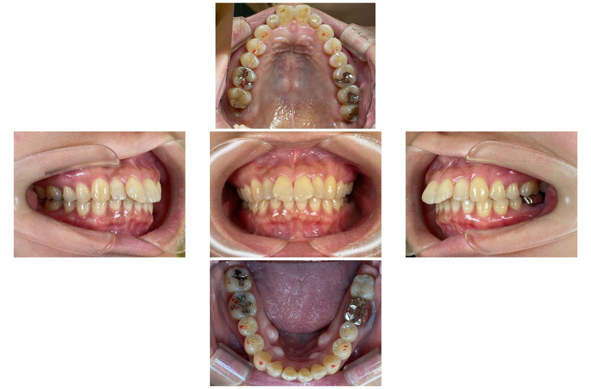
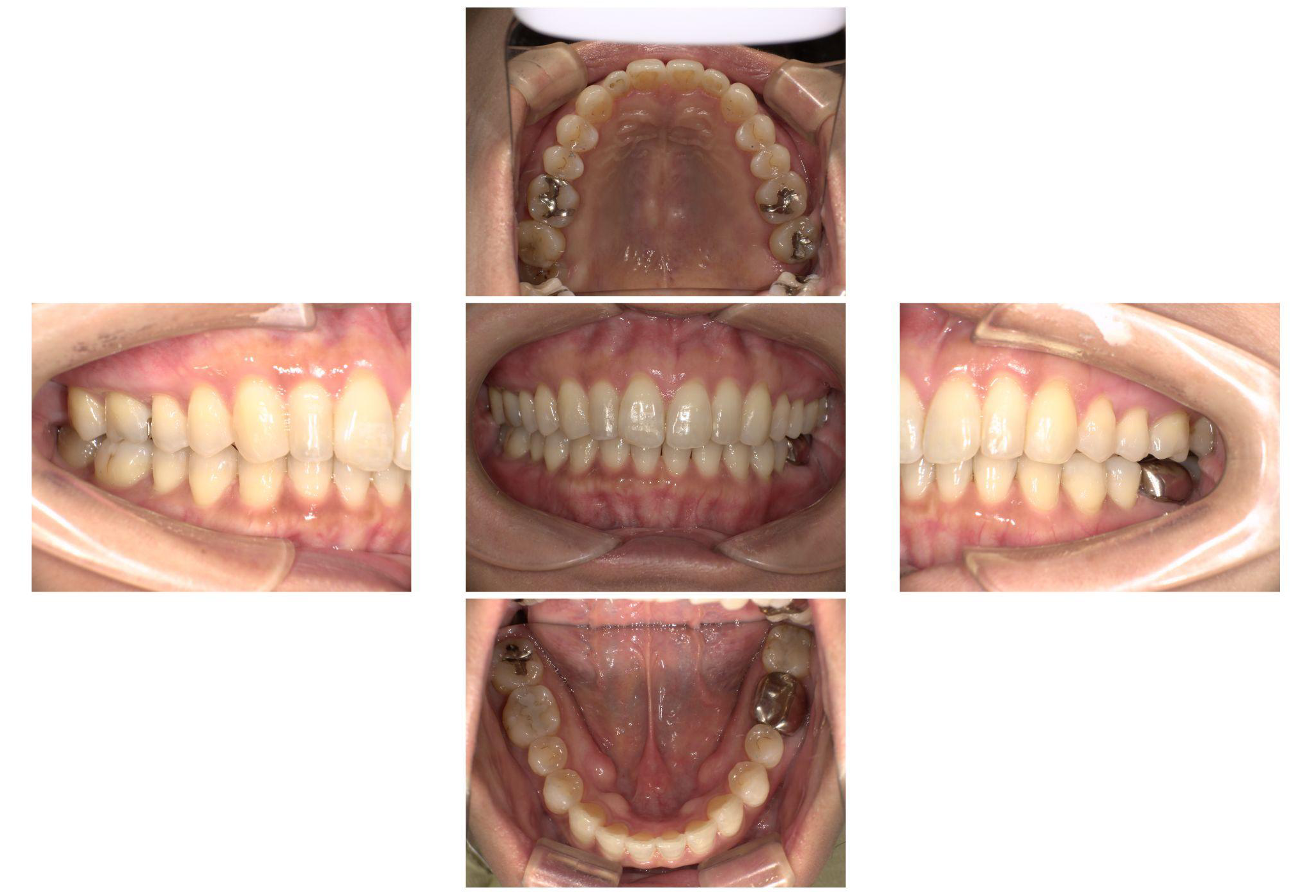
上顎前突(上の前歯が出ているのが気になる) ORTHODONTIC
2024/04/24
Before
治療開始時
After
治療終了時
使用装置

インビザライン(コンプリヘンシブ)
| 主訴(受診背景) | 上の前歯が出ている感じが気になる |
|---|---|
| 住所 | 福岡県行橋市 |
| 既往歴・習癖など | 特にありません |
| 診断名 | 上顎前突 |
| 治療開始時の年齢 | 40代女性 |
| 治療期間 | 1年11ヶ月 |
| 主な装置 | インビザライン(コンプリヘンシブ) |
| 治療費 | 825,000円 |
| 抜歯部位 | ありません |
| リスクと副作用 | マウスピース矯正ではアライナー装置の適切な装着方法と装着時間を守っていただけない場合、計画通りに歯が移動できない可能性があります。 適切な歯の清掃を行わなければ、虫歯になる可能性があります。 治療途中で噛み合わせが安定せず、顎関節症を引き起こす可能性があります。
_/_/_/_/_/_/_/_/_/_/_/_/_/_/_/_/_/_/_/_/_/_/_/_/_/_/_/_/ 家族みんなのかかりつけの歯医者さん たんぽぽ歯科・矯正歯科 院長:吉用 卓(よしもち たく) 日本顎咬合学会認定医 福岡県北九州市小倉南区沼本町1丁目10-2 TEL:093-475-4182 歯並び 審美 ホワイトニング 親知らずのご相談随時受付。 _/_/_/_/_/_/_/_/_/_/_/_/_/_/_/_/_/_/_/_/_/_/_/_/_/_/_/_/ |






