白く美しい口元で素敵な笑顔を叶えましょうesthetic

小倉南区下曽根の歯医者「たんぽぽ歯科・矯正歯科」は、審美歯科・ホワイトニング・詰め物の治療に対応。患者様のご要望やお口の状態、ご予算に応じて最適なご提案をしています。白く美しいセラミック素材を用いた審美治療やホワイトニングを行えば、歯の見た目や機能性を改善させられます。当院への相談は無料ですので、お困りの症状があればいつでもお気軽にご相談ください。
審美歯科の役割

審美歯科とは、歯や口元の美しさを高められる美容的な要素を持ち合わせた歯科治療です。見た目の美しさだけでなく、歯並びや咬み合わせを整える、金属アレルギーを改善するといった機能性を高めることも可能。つまり「審美性」と「機能性」を両立できるのが、審美治療の特徴です。
審美歯科のメリット
より魅力的な笑顔を手に入れられる
- 審美歯科を受ける大きなメリットは、より魅力的な笑顔になれることです。歯は顔の中でも特に目立つパーツ。歯の色や歯並びが美しくなると、顔全体の印象をより良く見せられ、人に清潔感や好印象を与えられます。
お口のトラブルを未然に防ぐ
- 審美歯科にはお口のトラブルを未然に防ぐ予防の側面もあります。歯並びや咬み合わせが乱れていると、歯みがきをしても汚れが残りやすくなります。しかし歯並びや咬み合わせを整えるとスムーズに歯みがきができ、むし歯や歯周病の予防に。また、咬み合わせが改善されれば顎関節症などの予防にもなります。
使用する素材
オールセラミック

すべてセラミックでできた素材です。天然歯と近い色調・質感を再現でき、自然な仕上がりになるため、前歯など目立つ部分に適しています。また強度が高く、変色・着色しにくいのも特徴。金属不使用のため、金属アレルギーのリスクもありません。
メタルボンド

金属のフレームにセラミックを焼き付けた被せ物。内側が金属のためオールセラミックよりも強度が高いのが特徴です。ただし金属を使用しているため透明感はやや劣り、金属アレルギーのリスクも。また金属が溶け出し、歯ぐきや歯が黒ずんでしまう恐れがあります。
ゴールド

金合金でできた被せ物です。金色なのでお口の中で少し目立ちますが、歯のエナメル質とほぼ同じ硬さであるため、咬み合う歯を痛めることがありません。金属アレルギーのリスクはあるものの、身体への親和性が高く他の金属素材に比べてリスクは少ないです。
審美歯科の流れ
- 1
-
ご相談・カウンセリング
歯の見た目に関するお悩みや心配事、希望される治療、既往歴や持病などについてお聞かせください。当院から審美歯科の概要やメリット・デメリット、治療期間、治療の流れ、当院の診療体制などについてご説明します。どのようなことでもお気軽にご相談ください。
- 2
-
検査・診断
レントゲンや口腔内写真の撮影などを行い口腔内の状態を確認するとともに、どのような治療が最適であるか見極めます。
- 3
-
治療説明
検査結果や患者様のご要望をもとに治療計画を立てます。患者様に治療内容やスケジュール、費用などを丁寧に分かりやすくご説明します。ご不明な点がありましたら遠慮なくお尋ねください。
- 4
-
事前治療
むし歯や歯周病などがないかをチェックし、もしあれば優先して治療します。
- 5
-
治療・型取り
治療計画に沿って効果的な治療をいたします。削る必要のある箇所は削り、型取りを実施。採った型を歯科技工所に送り、技工物の作製を依頼します。
- 6
-
技工物の装着
技工所にて作成した技工物を装着します。歯と技工物の間にすき間ができず、上下の歯でしっかり咬める正しい咬み合わせに整えます。
- 7
-
メインテナンス
美しい口元を維持するためには、メインテナンスを行うことが重要です。日頃からご自宅での歯みがきをしっかり行うとともに、定期的に受診しメインテナンスを受けましょう。
ホワイトニングの役割

加齢や遺伝、コーヒーやカレーなど色の濃い飲食物などが原因で、歯は黄ばんでしまいます。そのような歯を白くするのが「ホワイトニング」。専用の薬剤を歯に塗布して漂白し、黄ばみを除去して歯を白くします。審美歯科のように健康な歯を削ることなく歯を白くできるため、「手軽に短期間で歯を白くしたい」という方にお勧めです。歯の状態によっては他に適した治療がある場合もありますので、まずはお気軽にご相談ください。
クリーニングや審美歯科との違い
※表は左右にスクロールして確認することができます。
| ホワイトニング | クリーニング | 歯科 | |
|---|---|---|---|
| 特徴 | 薬剤を使用し歯を漂白して白くする方法 | プラークや歯石、歯の表面の汚れを取り除く方法 | セラミックなどの白く美しい素材を使って被せ物・詰め物で補う方法 |
| 白さ | 希望に応じて歯の白さを調整できる | 歯の汚れを取り除くことで白く見えるが、元々の歯の白さ以上に白くならない | 希望に応じて歯の白さを調整できる |
| 歯を削る有無 | 健康な歯を削る必要がない | 健康な歯を削る必要がない | 場合によっては健康な歯を削らなければいけない |
| 期間 | 比較的短い期間で歯を白くできる | 比較的短い期間で完了できる | 何度も通院し、長期間かかる |
| 費用 | セラミックに比べて 比較的安価 |
保険適用となり安価 | ホワイトニングに比べて高価 |
ホワイトニングの種類
オフィスホワイトニング

専用の薬剤を歯に塗布し、8分間特殊なレーザー光を当てて、歯を一気に白くする処置です。強い薬剤とレーザー光を用いることで即効性があり、短期間で効果を実感できます。しっかりとしたケアが必要。より効果を実感したい場合は、数回オフィスホワイトニングを重ねて行うこともあります。
1回目で終わる方が多いのですが、2回目、3回目と継続することで、「白い歯」を維持できます。
ホームホワイトニング

ご自宅で患者様自身に行っていただくホワイトニングです。歯科医院で患者様に合わせたマウストレーを作製。その後、ご自宅にてマウストレーに低濃度のホワイトニング剤を入れ、1日2時間程度装着します。理想の白さになるまで期間がかかりますが、通院回数も少なく、ゆっくり時間をかけて白くするため、元の色に戻りにくいメリットがあります。
また、使用するホワイトニングジェルには、硫酸カリウムとフッ素が配合されているため、むし歯予防にも効果があり、オフィスホワイトニングと併用することでより効果が高まります。
※ホワイトニング終了後もマウストレーは捨てずに保管していただくと、歯の色が戻ってしまった時、ホワイトニングジェルのみご購入いただくことで、再度ホームホワイトニングを続けることができます。
デュアルホワイトニング

デュアルホワイトニングとは、オフィスホワイトニングとホームホワイトニングを併用して行うホワイトニングのことです。費用は単独のホワイトニングよりも高くなりますが、2つのホワイトニングの相乗効果により、比較的短期間で単独のホワイトニングでは到達できない歯の白さにすることができます。また、色が戻りにくくなり、長いと1年程度効果が続く方もいます。
ウォーキングブリーチ

事故や怪我で歯を強くぶつけたり、大きなむし歯で歯の神経を取ったりした場合、歯が変色して黒くなることがあります。この場合は通常のホワイトニングでは歯を白くすることができません。ウォーキングブリーチでは、歯の裏側に穴をあけて中に専用の高濃度漂白剤を入れ、それを1週間に1回交換することを3回程度繰り返すことで歯の内側から白くすることができます。ただし、歯の状態によっては対応できないことがあるため、まずはご相談ください。
ホワイトニングの料金表
※表は左右にスクロールして確認することができます。
| 歯科医院で行うホワイトニング | マウスピースで、ご自宅でホワイトニング | 歯科医院でもご自宅でもホワイトニング | |
|---|---|---|---|
| オフィスホワイトニング | ホームホワイトニング | デュアルホワイトニング | |
| 料金 |
1回目:11,000円(税込) 2回目:8,800円(税込) 3回目:6,600円(税込) 4回目以降:5,500円(税込) 効果維持のためのホワイトニング(終了後6ヶ月以内):5,500円(税込) |
初回マウスピース作成代およびジェル代金:22,000円(税込) 追加ジェル 1週間分(6本):5,500円(税込) 1本単位:1,100円(税込) |
オフィスホワイトニング料金は変わりありません。 その後行うホームホワイトニング 初回マウスピース作成代およびジェル代金:11,000円(税込) 1週間分(6本):5,500円(税込) 1本単位:1,100円(税込) |
| 備考 |
※マウスピースを紛失・破損した場合:3,300円で再作成しております。 ※白さ維持のためのジェルは1週間分~ |
※マウスピースを紛失・破損した場合:3,300円で再作成しております。 ※効果維持のためのホワイトニングはオフィスホワイトニングでもホームホワイトニングどちらでも可能です。 ※白さ維持のためのジェルは1週間分~ |
オフィスホワイトニングの流れ
- 1
-
ご相談・カウンセリング

ご希望の歯の白さや普段の食生活、歯みがき習慣などについてお聞かせください。当院のオフィスホワイトニングの概要やメリット・デメリット、治療期間、治療の流れ、当院の診療体制についてご説明します。その後歯の色をチェックし、口腔内がホワイトニングできる状態であるか診査します。
- 2
-
クリーニング

ホワイトニング前に歯石や着色汚れを落とし、薬剤が浸透しやすい状態にします。
- 3
-
ホワイトニング薬剤の塗布

歯ぐき及び唇を保護してから、歯の表面にホワイトニング薬剤を塗布します。
- 4
-
光を照射

歯にレーザー光を照射します。薬剤と光が反応して、歯が白くなります。
- 5
-
白さの確認

薬剤をきれいに除去して、仕上げに歯をコートするジェルを塗ります。ご希望の白さに変化しているか確認します。
ホームホワイトニングの流れ
- 1
-
ご相談・カウンセリング

ご希望の歯の白さや普段の食生活、歯みがき習慣などについてお聞かせください。当院のホームホワイトニングの概要やメリット・デメリット、治療期間、治療の流れ、当院の診療体制についてご説明します。その後、歯の色をチェックし、口腔内がホワイトニングできる状態であるか診査します。
- 2
-
マウストレー作製

ホームホワイトニング専用のマウストレーを作製するため、歯の型取りをします。後日、マウストレーと薬剤をお渡しし、使用方法や注意事項をご説明します。
- 3
-
マウストレー装着

ご自宅でお好きなときにホワイトニングを行ってください。マウストレーにホワイトニング薬剤を着けて歯に装着し、数時間置きます。この処置を毎日、数週間継続します。
- 4
-
クリーニング

歯に付いたホワイトニング薬剤を取り除き、口をすすぎます。
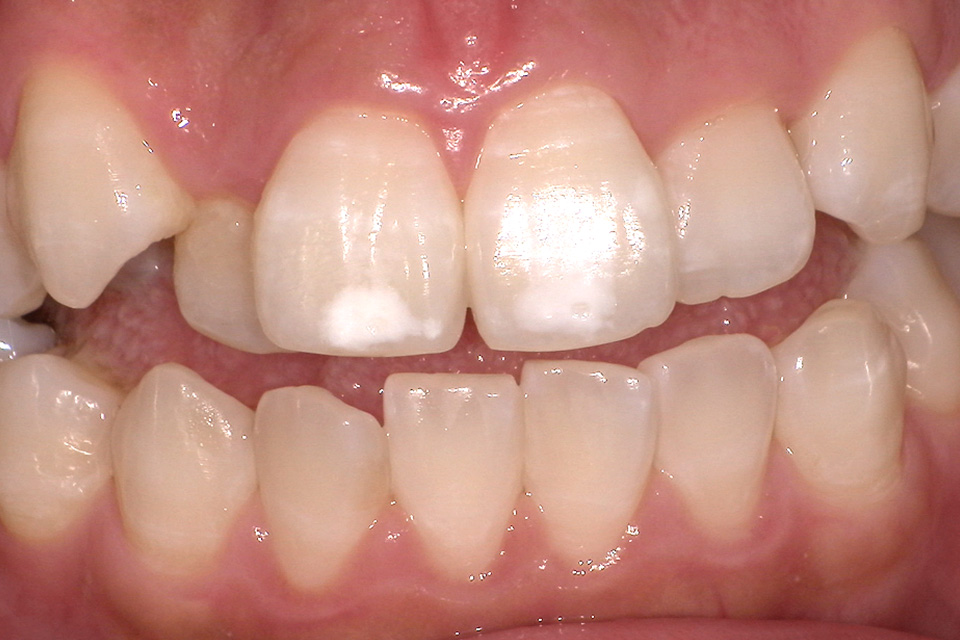
ホワイトスポット治療始めました

「笑った時に前歯の白い斑点が気になる…」「写真に写る自分の歯の白斑が気になって自信が持てない」―そんなお悩みをお持ちの方に、たんぽぽ歯科がご提案するのは、歯を削らず行える画期的な治療「アイコン(Icon)」です。短時間で目立たなくし、透明感のある自然な歯へ導きます。
ホワイトスポットの原因

初期虫歯(脱灰):酸によってミネラルが溶け出し、再石灰化が追いつかないことで白斑が生じるケース。進行前なら削らず治療できる可能性が高いです。
エナメル質形成不全:歯が形成される際にエナメル質が十分にできず、生まれつき白斑が出るケース。
アイコン治療(Icon®)とは?

「アイコン」とは、ホワイトスポットの脱灰部分に低粘度の光重合性レジン(浸潤性レジン)を浸透させ、光の乱反射を抑えて周囲の歯と馴染ませる「削らない」治療法です。麻酔不要で、短時間・無痛に近い治療が可能です。
治療の流れ
- 1
-
診断
ホワイトスポットの原因や深さを歯科医師が診断。
- 2
-
前処置
特殊なジェルで表面をわずかに溶かし、レジンの浸透を促進。
- 3
-
レジン浸透
アイコンの主成分(浸潤性レジン)を塗布し、内部にしっかり浸透させる。
- 4
-
研磨・仕上げ
表面を整えて自然な光沢へ。
※多くの場合、1回の来院で完了、麻酔不要、痛みほぼなし、治療後すぐ食事可能です。
アイコンでホワイトスポットが改善した症例
ここからは、実際に当院でアイコン治療を受けられた患者さまの症例をご紹介します。
症例1:エナメル質形成不全によるホワイトスポット
生まれつき前歯に白い斑点があり、ずっとコンプレックスに感じていたという患者さまです。

<Before>
前歯の広範囲に白い斑点が見られます。特に光の当たり方によってはかなり目立ってしまい、笑うことに抵抗があったそうです。
<After>
アイコン治療後、白い斑点が目立たなくなり、周囲の健康な歯と馴染んで自然な見た目になりました。患者さまも大変喜ばれ、笑顔に自信が持てるようになったとのお声をいただきました。
症例2:初期虫歯によるホワイトスポット
歯の表面に白い斑点ができて、最近気になり始めたという患者さまです。

<Before>
歯みがきを頑張っているものの、特定の場所に白い斑点ができてしまっていました。初期虫歯による脱灰と診断されました。
<After>
アイコン治療で白い斑点が消え、歯の透明感が戻りました。歯を削っていないため、歯の形もそのままです。治療後も定期的なメンテナンスで、健康な歯を維持できるようサポートしています。
アイコン治療のメリット・デメリットと副作用について
アイコン治療は歯を削らずにホワイトスポットを改善できる非常に優れた治療法ですが、いくつか注意点があります。
メリット
歯を削らない:健康な歯質をそのまま残せます。
麻酔不要:治療中の痛みはほとんどありません。
短時間で完了:1回の来院で治療が終わることが多いです。
見た目の改善:自然な透明感を取り戻せます。
デメリット・副作用
ホワイトスポットの原因によっては適用できない場合がある:ホワイトスポットの原因や深さによっては、アイコン治療が適用できないことがあります。
経年劣化:詰め物ではないため、ホワイトニングや日々の飲食による着色で色調がわずかに変化することがあります。定期的なメンテナンスで、美しい状態を保つことができます。
稀に着色や知覚過敏が起こることがある:非常に稀ではありますが、治療後に知覚過敏や着色が起こる場合があります。
アイコン治療があなたのホワイトスポットに適しているかどうかは、精密な診断が必要です。
気になる方は、一度当院にご相談ください。
詰め物の治療

むし歯治療では、むし歯菌に冒された歯質を取り除きます。その際歯質を除去した穴の部分を補うのが「詰め物」。削った部分が小さければ、レジン(歯科用プラスチック)を詰めて形を整える直接法を行いますが、削った部分が大きければ歯型を取ってから金属やセラミックなどの素材で補う間接法を行います。
間接法に用いられる詰め物は、大きさによってインレーとアンレーの2種類に分けられます。インレーは比較的小さな部位を補うときに使い、アンレーは大きな部位を補うときに使います。
使用する素材
レジン

歯科用プラスチック素材です。歯の色調に似ており、自然な見た目に仕上がります。保険適用のレジンを使用すると比較的安価に治療できるのもメリット。金属不使用のため、金属アレルギーのリスクがありません。ただし長く使用していると変色・破損しやすくなります。
セラミック

セラミック素材の詰め物です。天然歯と近い色調・質感を再現でき、耐久性に優れます。表面がなめらかなので汚れが付きにくく、むし歯が再発しにくいメリットも。金属不使用のため、金属アレルギーのリスクもありません。
ハイブリッドセラミック

セラミックとレジンを混ぜ合わせた詰め物です。レジンよりも耐久性が高く柔軟性もあるため、強い力がかかっても咬み合う歯を傷めません。比較的安価に作れますが、セラミックと比べるとやや色調・質感は劣ります。金属不使用のため、金属アレルギーのリスクもありません。
ジルコニア

「人工ダイヤモンド」とも呼ばれる非常に強度が高い素材です。透明感があり美しい見た目が得られます。咬み合わせが強くても咬み合う歯を傷めず、歯ぎしりの多い方やオールセラミックで対応できない方などに適用となることも。金属不使用のため、金属アレルギーのリスクもありません。
| 治療内容 | 金額(税込) |
|---|---|
| ジルコニア | 55,000円 |
| セラミック(e-max) | 66,000円 |
| ゴールド | 時価(66,000円程度から) |
| 治療内容 | 金額(税込) |
|---|---|
| ジルライト | 77,000円 |
| e-max | 88,000円 |
| ゴールド | 時価(66,000円程度から) |
| 治療内容 | 金額(税込) |
|---|---|
| e-max | 99,000円 |
| ジルコニア | 110,000円 |
| 治療内容 | 金額(税込) |
|---|---|
| ダイレクトボンディング | 22,000円 |










