症例|ママと子どもも一緒に通える小倉南区下曽根の歯医者「たんぽぽ歯科・矯正歯科」

小倉南区下曽根の歯医者 たんぽぽ歯科・矯正歯科

WEB
問診票
  • 小倉南区下曽根の歯医者 たんぽぽ歯科・矯正歯科のinstagram
  • 小倉南区下曽根の歯医者 たんぽぽ歯科・矯正歯科のline

診療時間

診察時間
閉じる
[診療]
火~金 9:30~17:30
土   9:00~17:00
[休診]
日・月・祝

〒800-0208
福岡県北九州市小倉南区
沼本町1丁目10-2

診療予約

※ご希望の日時に空きがない場合、
電話にてご相談下さい

症例case

  • HOME
  • はじめての方へ
    • 予約や治療の流れ
    • コンセプト・特長
  • 小児歯科
  • お子様がいる「ママ」へ
    • 子育て世代に
      知ってほしいこと
    • 「マタニティ歯科」
      妊娠中の方へ
  • 小倉南区下曽根の歯医者 たんぽぽ歯科・矯正歯科
  • 診療内容
    • 「一般歯科」歯が痛い
    • 「歯周病」歯茎が痛い
    • 「入れ歯・インプラント」
      歯がなくなった
    • 「矯正歯科」
      コンプレックスをなくしたい
    • 「口腔外科」口の中が痛い
    • 「審美・ホワイトニング・詰め物」
      素敵な笑顔を
  • 予防歯科
  • 医院情報
    • コンセプト・特長
    • 医院概要
    • スタッフ紹介
    • 設備紹介
    • プライバシーポリシー
  • 採用情報
  • お知らせ
    • お知らせ
    • ブログ
    • 求人ブログ
    • 症例
  • 初診予約
  • 再診予約
当院では、クレジットカードやデンタルローンが利用できます。
  • ホーム
  • 症例

症例一覧case

  • 成人矯正
  • 小児矯正
  • 入れ歯
  • インプラント
  • 審美歯科
インビザライン症例|出っ歯になっていることが気になる

2026/04/17 成人矯正

インビザライン症例|出っ歯になっていることが気になる

e-max(オールセラミックス)症例|ケガで前歯が折れた

2026/04/07 審美歯科

e-max(オールセラミックス)症例|ケガで前歯が折れた

ダイレクトボンディング症例|矯正後の前歯のすき間(ブラックトライアングル)が気になる

2026/03/26 審美歯科

ダイレクトボンディング症例|矯正後の前歯のすき間(ブラックトライアングル)が気になる

部分矯正症例|前歯のガタガタが気になる

2026/03/31 成人矯正

部分矯正症例|前歯のガタガタが気になる

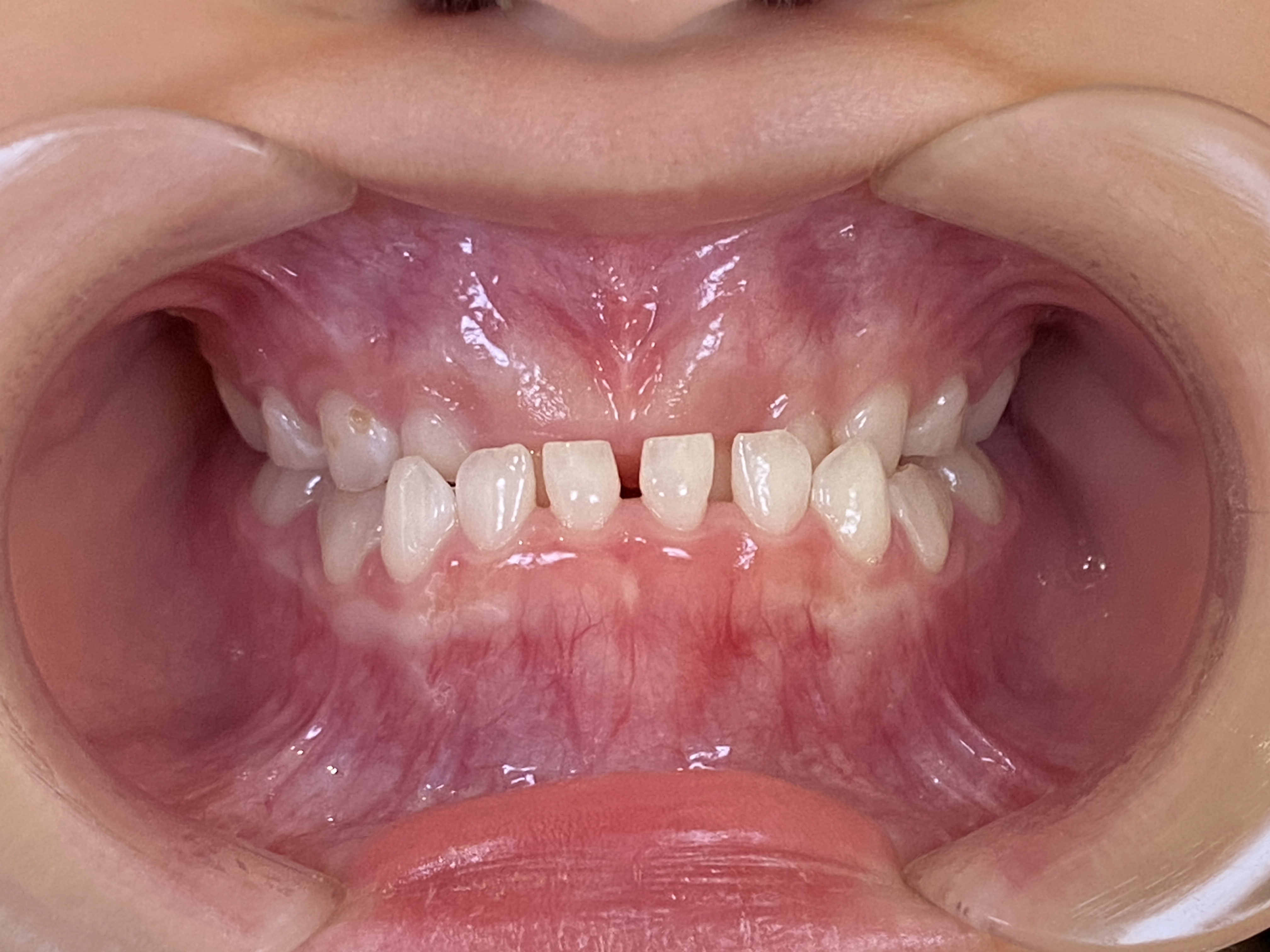
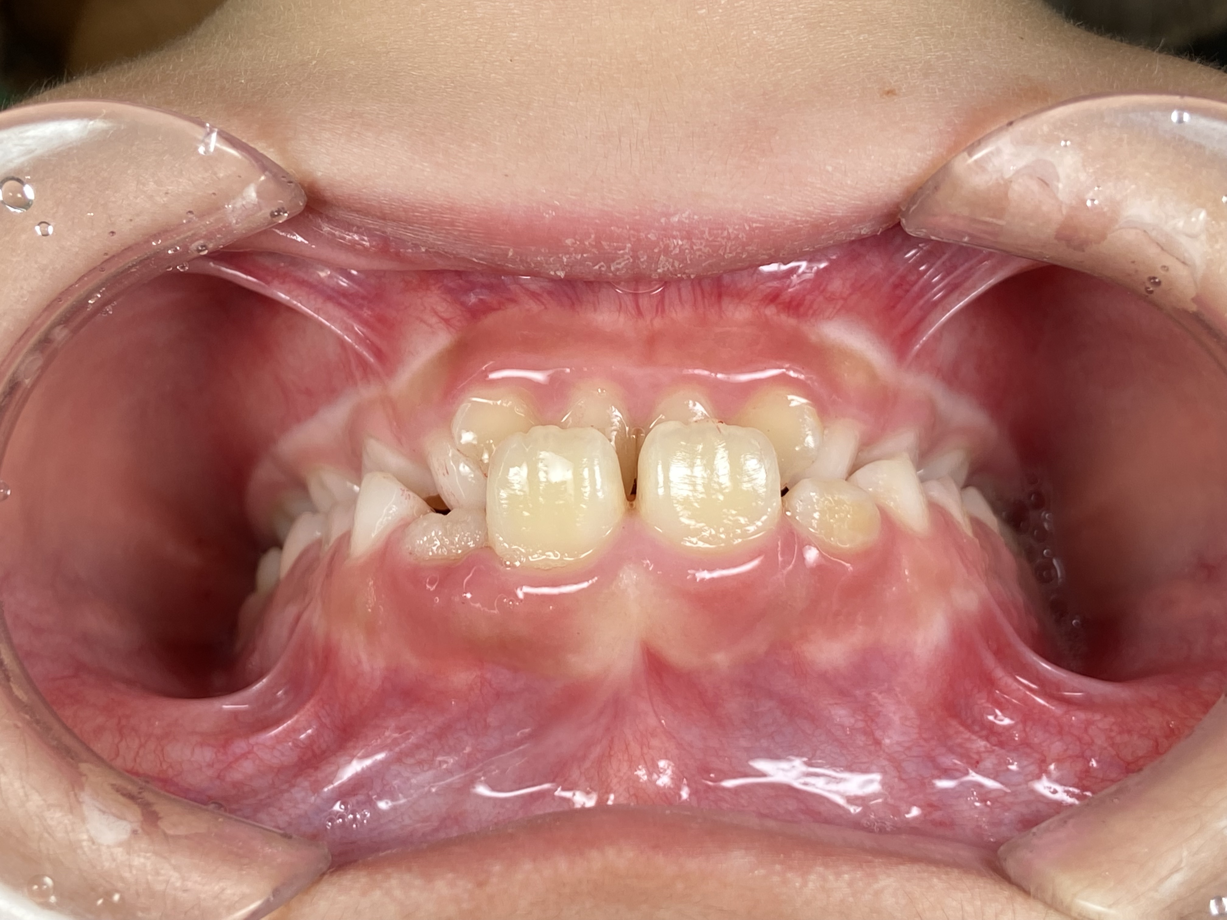
プレオルソ症例|下の前歯が出ているのが気になる

2026/03/24 小児矯正

プレオルソ症例|下の前歯が出ているのが気になる

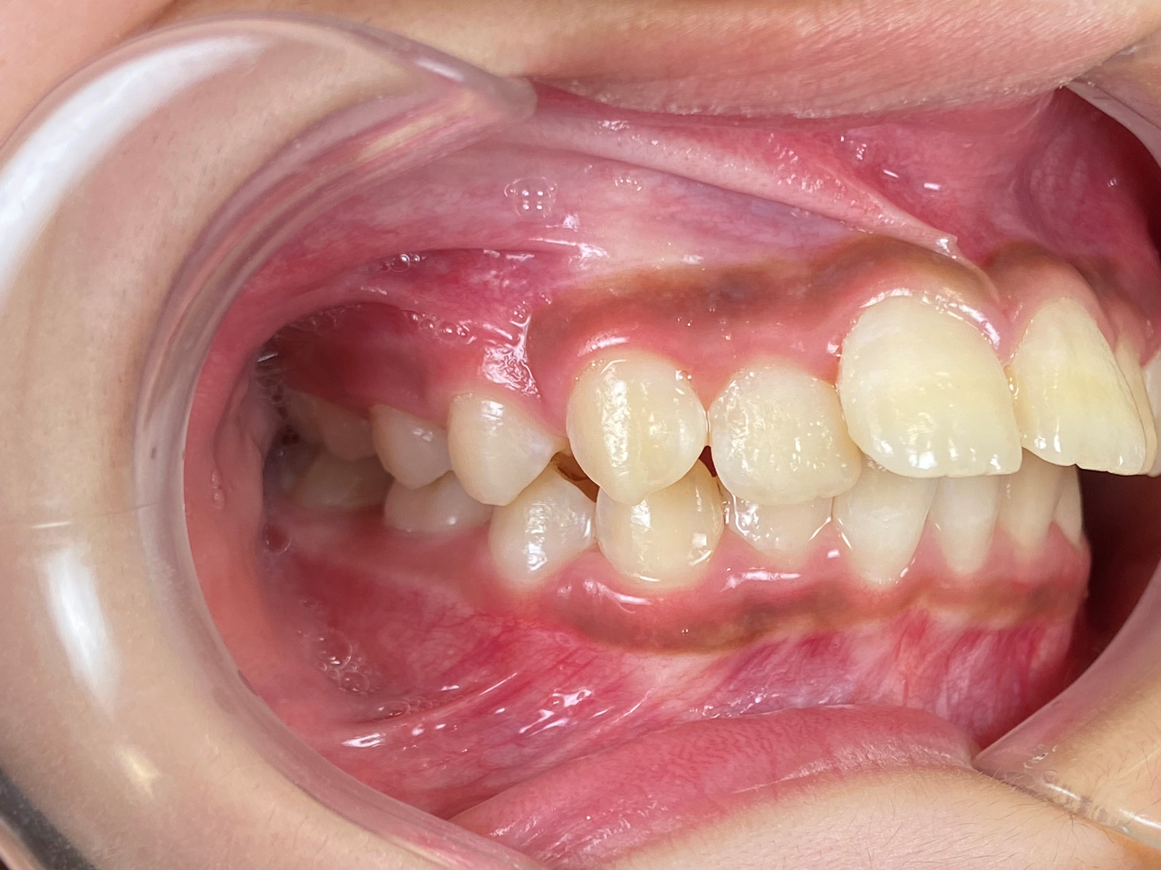
部分矯正症例|左の奥歯がかみ合っていない(シザーズバイト)

2026/03/19 小児矯正

部分矯正症例|左の奥歯がかみ合っていない(シザーズバイト)

インビザライン症例|八重歯が気になっていて、マウスピース矯正の話を聞きたい

2026/02/28 成人矯正

インビザライン症例|八重歯が気になっていて、マウスピース矯正の話を聞きたい

インビザラインファースト症例|上の前歯に隙間があって気になる

2026/02/21 小児矯正

インビザラインファースト症例|上の前歯に隙間があって気になる

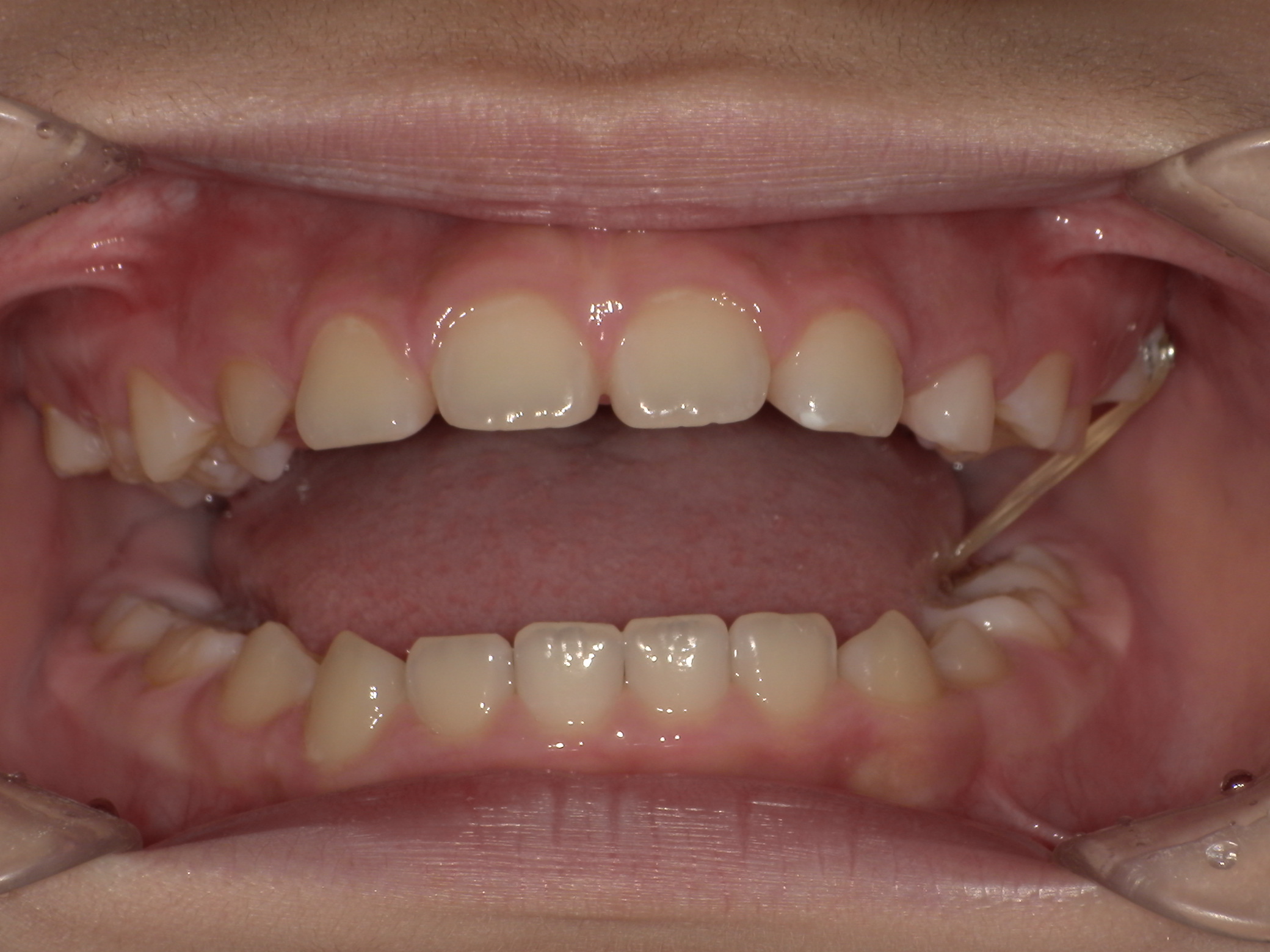
プレオルソ症例|前歯が反対になっている歯並びが気になる

2026/02/06 小児矯正

プレオルソ症例|前歯が反対になっている歯並びが気になる

ダイレクトボンディング症例|矯正後の前歯のすき間が最近気になる

2026/01/27 審美歯科

ダイレクトボンディング症例|矯正後の前歯のすき間が最近気になる

ソケットプリザベーション&インプラント症例|右下の奥歯が何もしなくても痛い

2026/01/21 インプラント

ソケットプリザベーション&インプラント症例|右下の奥歯が何もしなくても痛い

ノンクラスプ義歯症例|噛めなくて困っている。入れ歯使っていない。

2025/12/28 入れ歯

ノンクラスプ義歯症例|噛めなくて困っている。入れ歯使っていない。

  • <<
  • 1
  • 2
  • 3
  • 4
  • 5
  • >>
  • 診療予約

    ※ご希望の日時に空きがない場合、
    電話にてご相談下さい

WEB問診票

お電話での予約はこちらから

  • 093-475-4182

診療後はAI電話が対応します。

  • 小倉南区下曽根の歯医者 たんぽぽ歯科・矯正歯科のinstagram
  • 小倉南区下曽根の歯医者 たんぽぽ歯科・矯正歯科のline

トップへ戻る

小倉南区下曽根の歯医者 たんぽぽ歯科・矯正歯科の矯正無料相談

アクセスaccess

〒800-0208
福岡県北九州市小倉南区沼本町1丁目10-2

車での所要時間

  • 都市高速道路
    長野インターより15分程度
  • 九州自動車道
    小倉東インターより15分程度

駐車場をご用意していますので、ご安心ください。
他、バスでの来院・通院も可能です。

アクセス

Googlemapで見る

お電話での予約はこちらから
093-475-4182093-475-4182

診療後はAI電話が対応します。

小倉南区下曽根の歯医者 たんぽぽ歯科・矯正歯科の診察時間

[診療]
火~金 9:30~17:30
土   9:00~17:00
[休診]
日・月・祝
  • WEB問診票
    (小学生以下)
  • WEB問診票
    (中学生以上)
  • キッズルームあり
  • 駐車場あり

当院では、クレジットカードやデンタルローンが利用できます。

当院では、クレジットカードやデンタルローンが利用できます。

小倉南区下曽根の歯医者 たんぽぽ歯科・矯正歯科

  • HOME
  • お知らせ一覧
  • ブログ一覧
  • 求人ブログ一覧
  • 症例

歯科タウン SHIKA-TOWN

はじめての方へ
  • 予約や治療の流れ
医院情報
  • コンセプト・特長
  • 医院概要・スタッフ・設備紹介
  • 採用情報
  • プライバシーポリシー
小児歯科
  • 「小児歯科」お子様の将来を守る
お子様がいる「ママ」へ
  • 子育て世代に知ってほしいこと
  • 「マタニティ歯科」妊娠中の方へ
「守る」ための治療
  • 「予防歯科」痛くならないように
診療メニュー
  • 「一般歯科」歯が痛い
  • 「歯周病」歯茎が痛い
  • 「入れ歯・インプラント」歯がなくなった
  • 「矯正歯科」コンプレックスをなくしたい
  • 「口腔外科」口の中が痛い
  • 「審美・ホワイトニング・詰め物」素敵な笑顔を
©Tanpopo Dental Clinic All Rights Reserved.
  • ※ご希望の日時に空きがない場合、
    電話にてご相談下さい
    診療後はAI電話が対応します。
  • 電話予約
  • 診療予約
  • 小倉南区下曽根の歯医者 たんぽぽ歯科・矯正歯科の矯正無料相談
  • LINE
    相談・予約