ダイレクトボンディング症例|矯正後の前歯のすき間(ブラックトライアングル)が気になる AESTHETIC DENTISTRY
2026/03/26
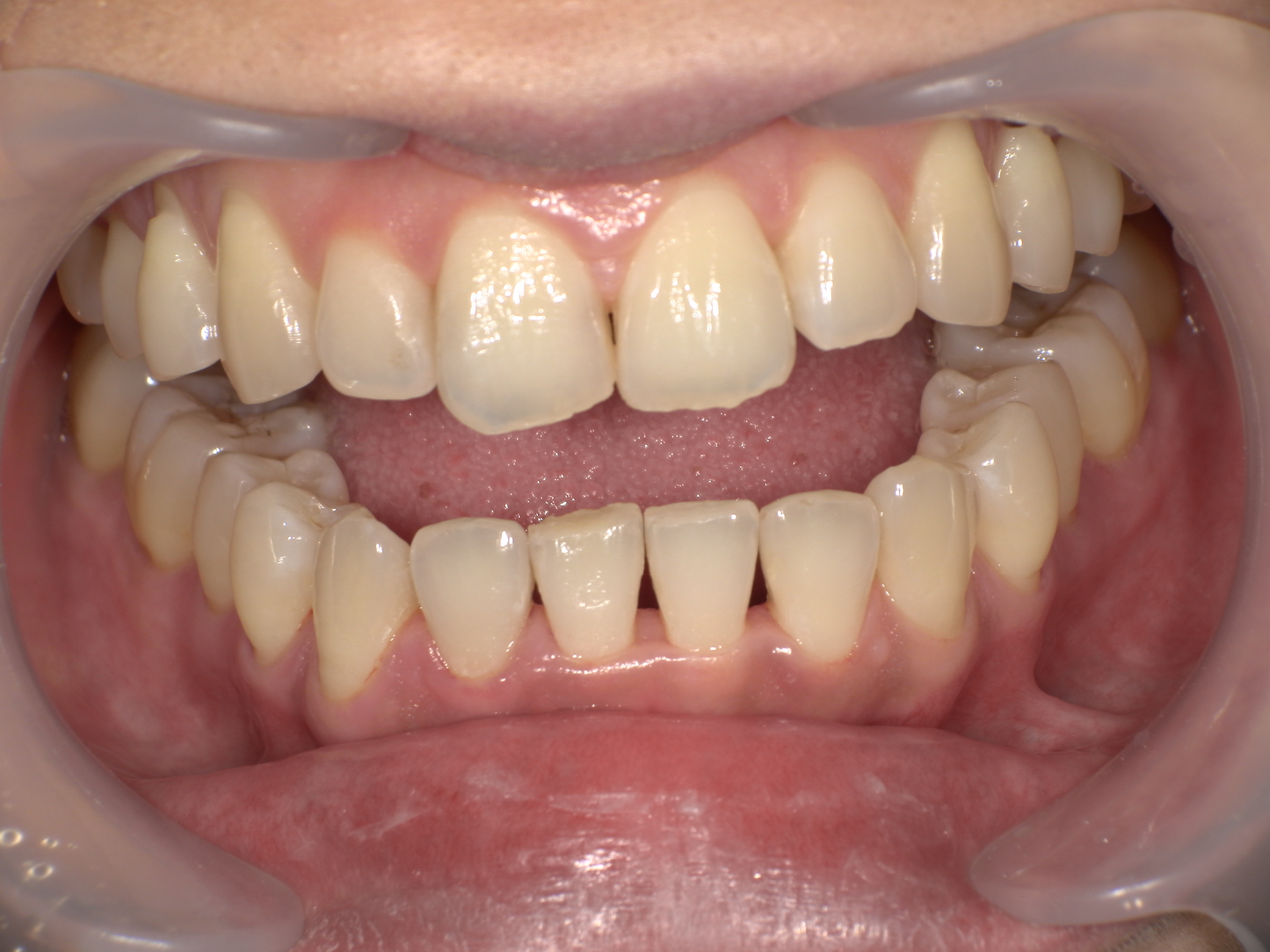
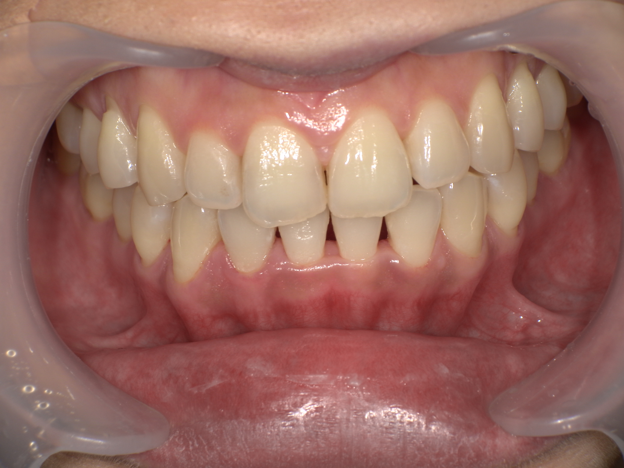
Before
治療開始前
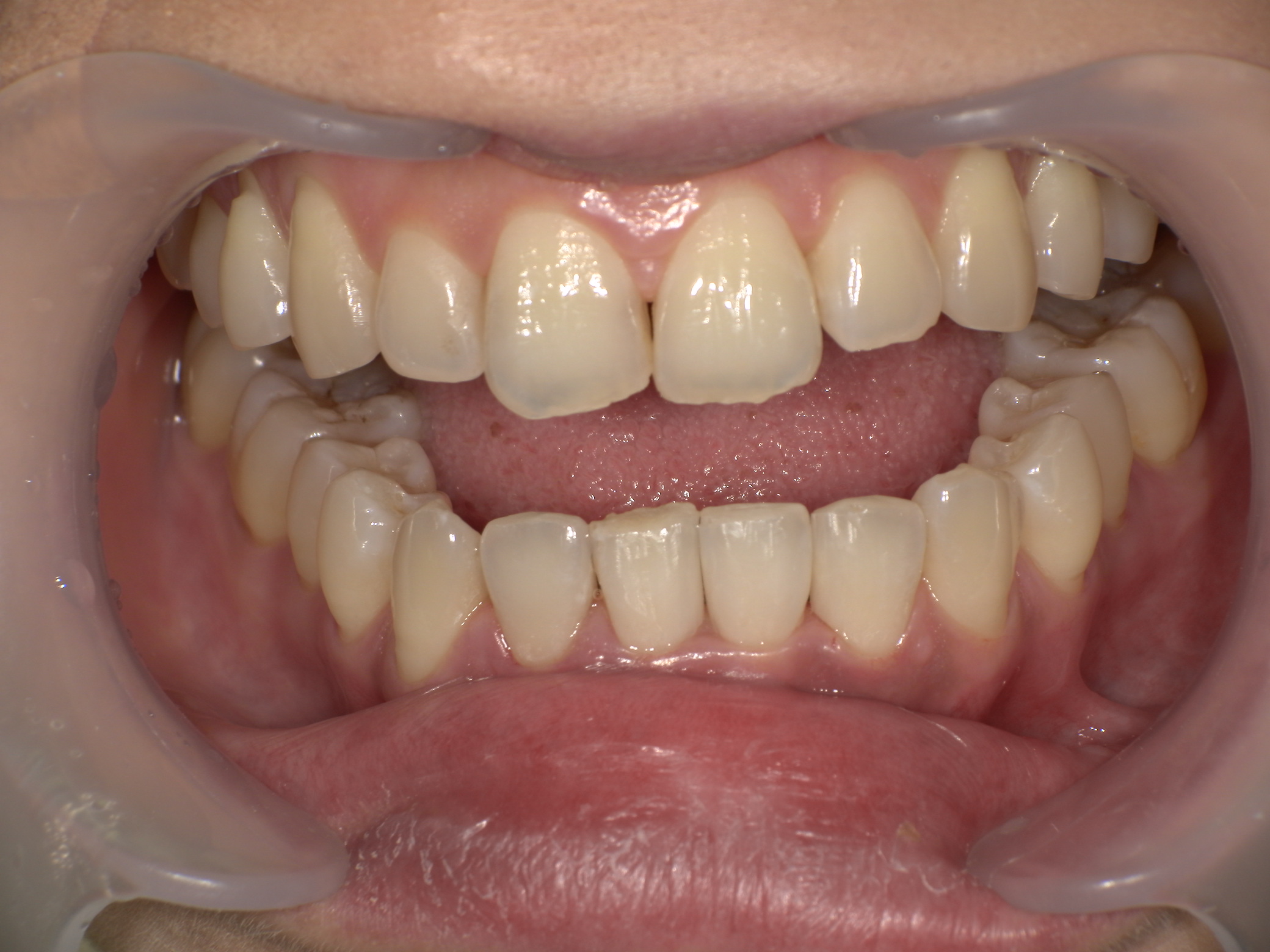
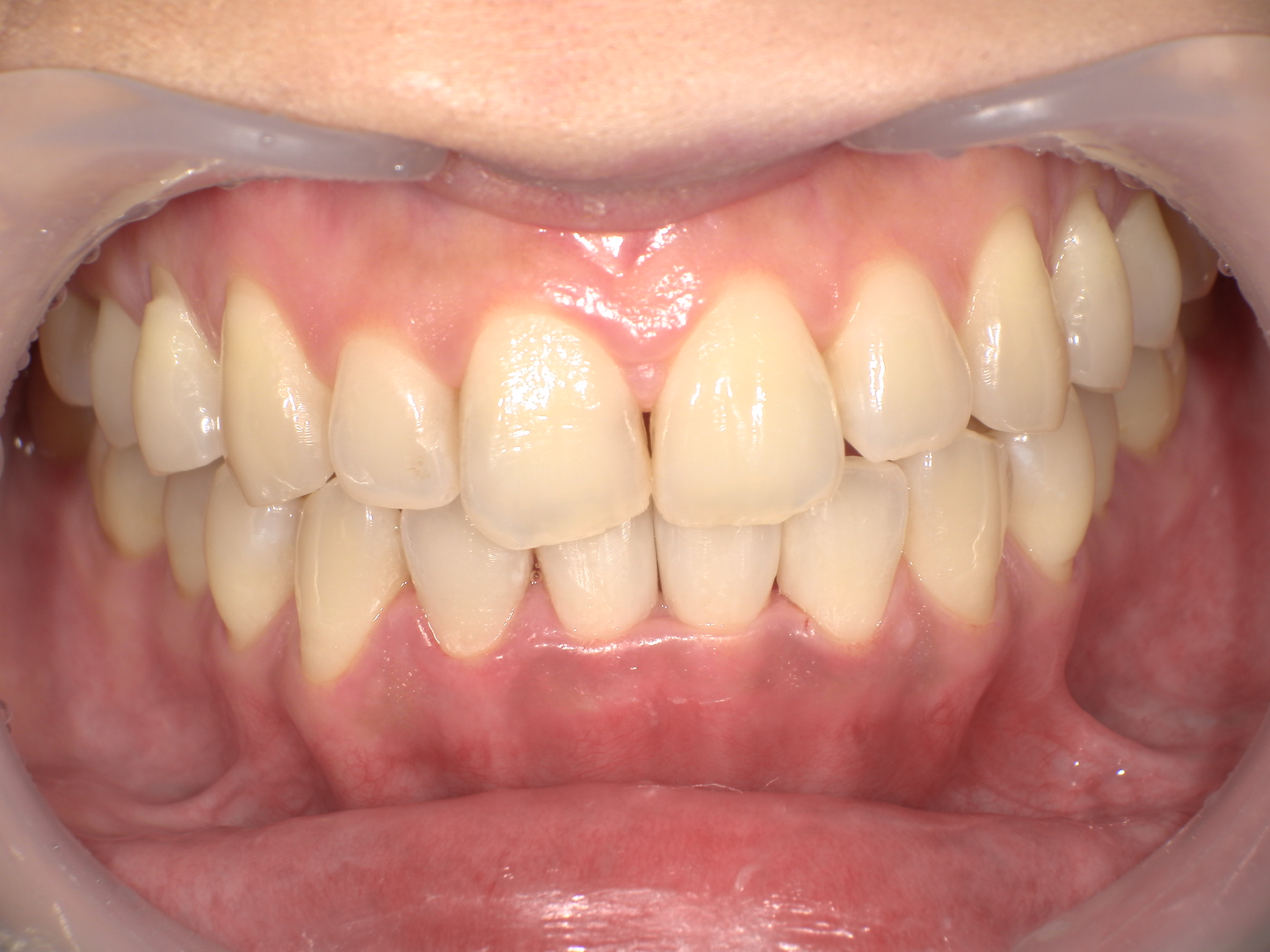
After
ダイレクトボンディング後
虫歯はないため、表面処理後、コンポジットレジンを用いて、色調と形態を再現しながら、前歯の隙間を自然な形態で埋めています。
| 主訴(受診背景) | 矯正後の前歯のすき間(ブラックトライアングル)が気になる |
|---|---|
| 住所 | 北九州市小倉北区 |
| 既往歴・習癖など | マウスピース矯正治療。特にガタガタが強い場合に生じやすい。 |
| 診断名 | ブラックトライアングル |
| 治療開始時の年齢 | 32歳 |
| 治療期間 | 1回 |
| 主な装置 | ダイレクトボンディング |
| 治療費 | 20,000円(税抜)×2か所 |
| 抜歯部位 | なし |
| リスクと副作用 | セラミックスやジルコニアと比較して強度が低いため、破折や摩耗が生じる可能性があります。 経年劣化により材料そのもの、歯との境界に着色や変色が起こります。 噛み合わせの状態や、部位、隙間の開き具合によってはダイレクトボンディングができない部位があります。ご自身の状態が適応可能かをご相談ください。
_/_/_/_/_/_/_/_/_/_/_/_/_/_/_/_/_/_/_/_/_/_/_/_/_/_/_/_/ 家族みんなのかかりつけの歯医者さん たんぽぽ歯科・矯正歯科 院長:吉用 卓(よしもち たく) 日本顎咬合学会認定医 福岡県北九州市小倉南区沼本町1丁目10-2 TEL:093-475-4182 歯並び 審美 ホワイトニング 親知らずのご相談随時受付。 _/_/_/_/_/_/_/_/_/_/_/_/_/_/_/_/_/_/_/_/_/_/_/_/_/_/_/_/ |






