インビザラインファースト症例|上の前歯に隙間があって気になる CHILD ORTHODONTICS
2026/02/21
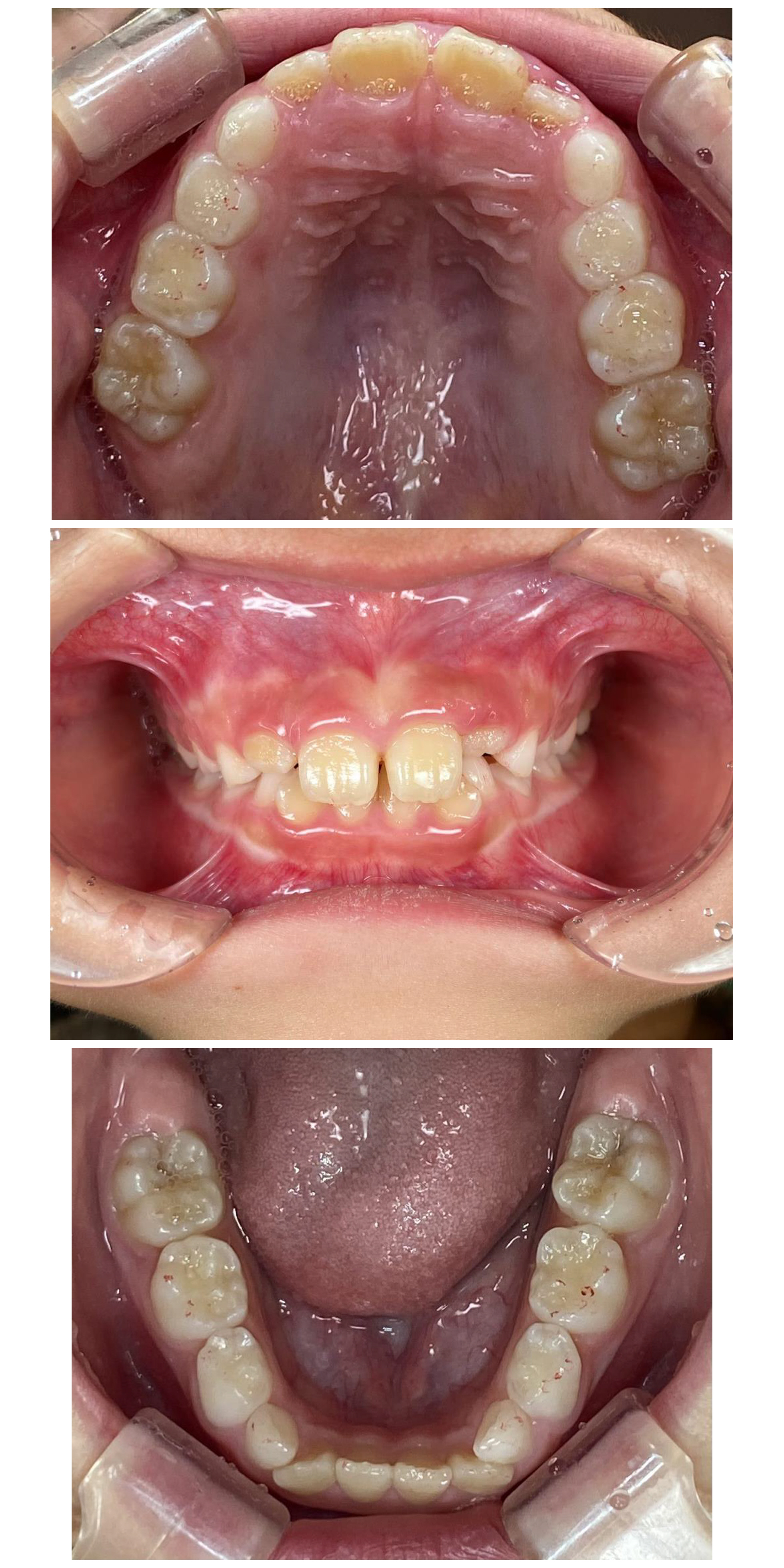
Before
治療開始前:8歳6か月
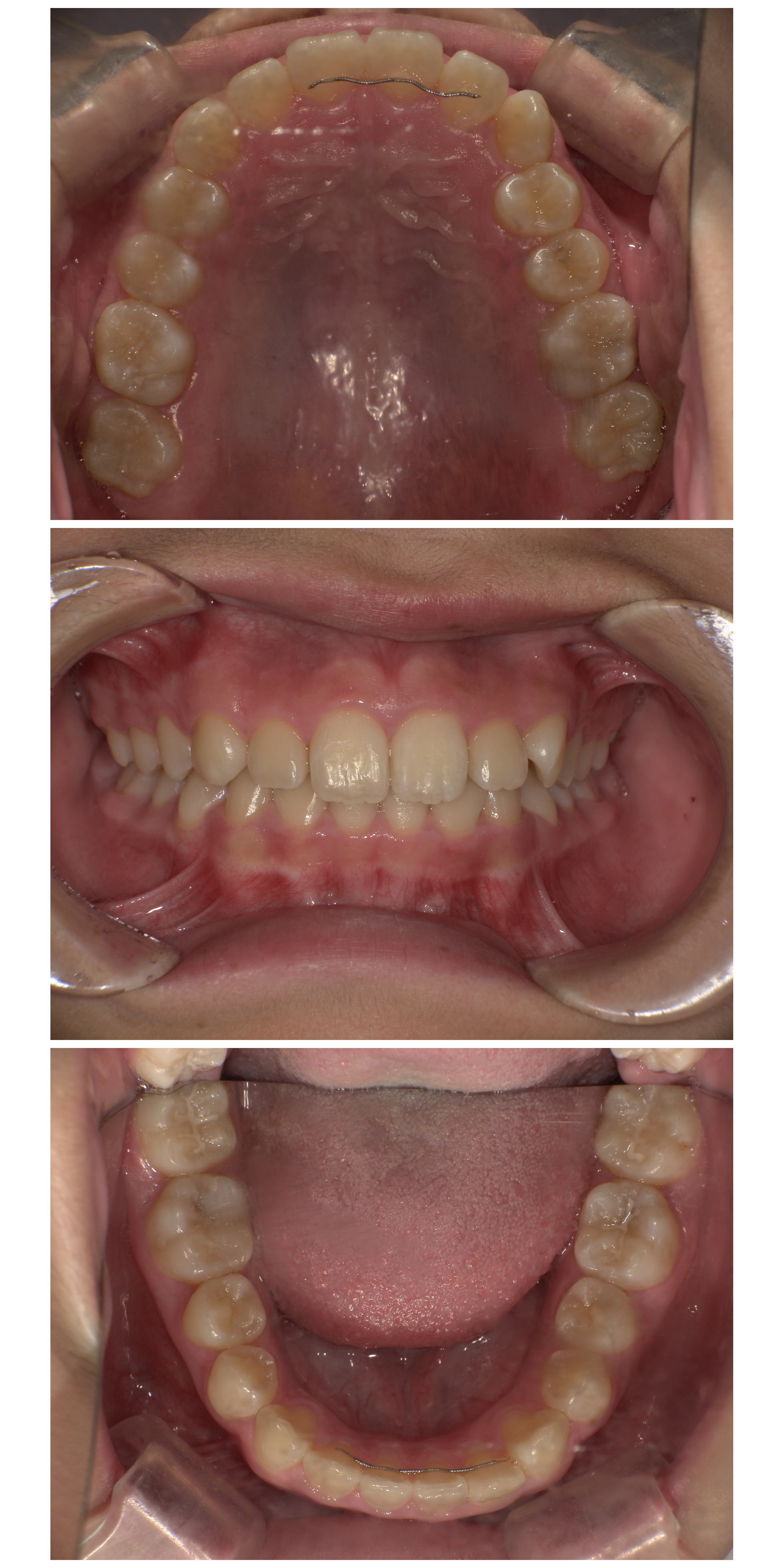
After
矯正終了:10歳2か月(上写真)
ここから舌側線にて永久歯への生え変わりを待ちました。
全て永久歯へ交換:12歳3か月(下写真)
使用装置

インビザライン(ファースト)

マイオブレイス(Bシリーズ)
当院では小児期におけるインビザライン矯正やワイヤー矯正では機能的矯正装置(マイオブレイス)の併用を原則行なっており、歯並びの悪くなった原因に対してもアプローチを行なっております。
| 主訴(受診背景) | 上の前歯に隙間があって気になる。 |
|---|---|
| 住所 | 北九州市小倉南区 |
| 既往歴・習癖など | 口唇閉鎖不全 |
| 診断名 | 叢生(Angle Ⅰ級)、過蓋咬合 |
| 治療開始時の年齢 | 7歳6か月 |
| 治療期間 | 1年8か月 |
| 主な装置 | インビザライン・ファースト |
| 治療費 | 550,000円 |
| 抜歯部位 | なし |
| リスクと副作用 | マウスピース矯正ではアライナー装置の適切な装着方法と装着時間を守っていただけない場合、計画通りに歯が移動できない可能性があります。 適切な歯の清掃を行わなければ、虫歯になる可能性があります。 治療途中で噛み合わせが安定せず、顎関節症を引き起こす可能性があります。 当院では小児矯正におけるマウスピース矯正あるいはワイヤー矯正では機能的矯正装置(マイオブレイス)の併用を行なっております。 機能的矯正は装着時間の徹底とトレーニングを行う必要があります。 顎の成長する期間を過ぎると効果が得られないため、歯並びの状態によりますが、6−8歳頃までに治療を開始することをオススメします。
_/_/_/_/_/_/_/_/_/_/_/_/_/_/_/_/_/_/_/_/_/_/_/_/_/_/_/_/ 家族みんなのかかりつけの歯医者さん たんぽぽ歯科・矯正歯科 院長:吉用 卓(よしもち たく) 日本顎咬合学会認定医 福岡県北九州市小倉南区沼本町1丁目10-2 TEL:093-475-4182 歯並び 審美 ホワイトニング 親知らずのご相談随時受付。 _/_/_/_/_/_/_/_/_/_/_/_/_/_/_/_/_/_/_/_/_/_/_/_/_/_/_/_/ |






