部分矯正症例|左の奥歯がかみ合っていない(シザーズバイト) CHILD ORTHODONTICS
2026/03/19
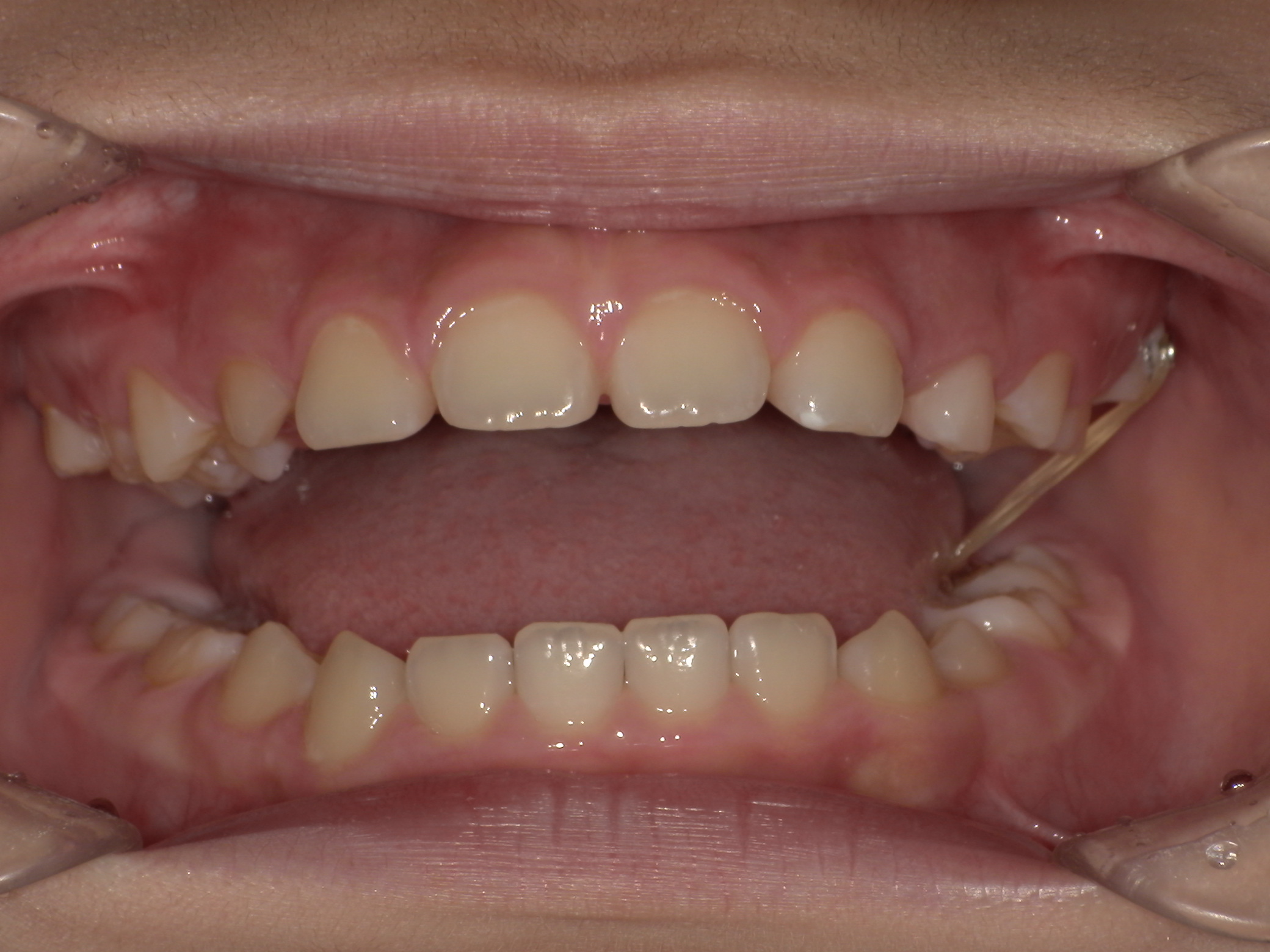
Before
左上の奥歯が強くほっぺた側に生えてしまったため、噛みあうことができず、すれ違いに生えてしまっています。
After
ほっぺた側に向いていた歯がかみ合うように内側に向いています。
使用装置

リンガルボタン(上下の歯に装着)
改善後に除去します。

顎間ゴム
食事と歯磨き以外、装着していただきます。
※噛み合わせの状態によっては、一時的に噛み合わせの面に材料を置いて、噛み合わせを高くすることがあります。
| 主訴(受診背景) | 左の奥歯がかみ合っていない |
|---|---|
| 住所 | 北九州市小倉南区 |
| 既往歴・習癖など | 特になし |
| 診断名 | 鋏状咬合(シザーズバイト) |
| 治療開始時の年齢 | 11歳 |
| 治療期間 | 7か月 |
| 主な装置 | 顎間ゴム |
| 治療費 | 55,000円(税込) |
| 抜歯部位 | なし |
| リスクと副作用 | ゴムの力で牽引を行い、その後は自然に正常な位置まで生えてくることを経過観察しますが、予定の位置まで改善してこない場合、ワイヤー矯正による位置関係の改善を行うことがあります。 ゴムの牽引による痛みを生じることがあります。
_/_/_/_/_/_/_/_/_/_/_/_/_/_/_/_/_/_/_/_/_/_/_/_/_/_/_/_/ 家族みんなのかかりつけの歯医者さん たんぽぽ歯科・矯正歯科 院長:吉用 卓(よしもち たく) 日本顎咬合学会認定医 福岡県北九州市小倉南区沼本町1丁目10-2 TEL:093-475-4182 歯並び 審美 ホワイトニング 親知らずのご相談随時受付。 _/_/_/_/_/_/_/_/_/_/_/_/_/_/_/_/_/_/_/_/_/_/_/_/_/_/_/_/ |






