プレオルソ症例|下の前歯が出ているのが気になる CHILD ORTHODONTICS
2026/03/24
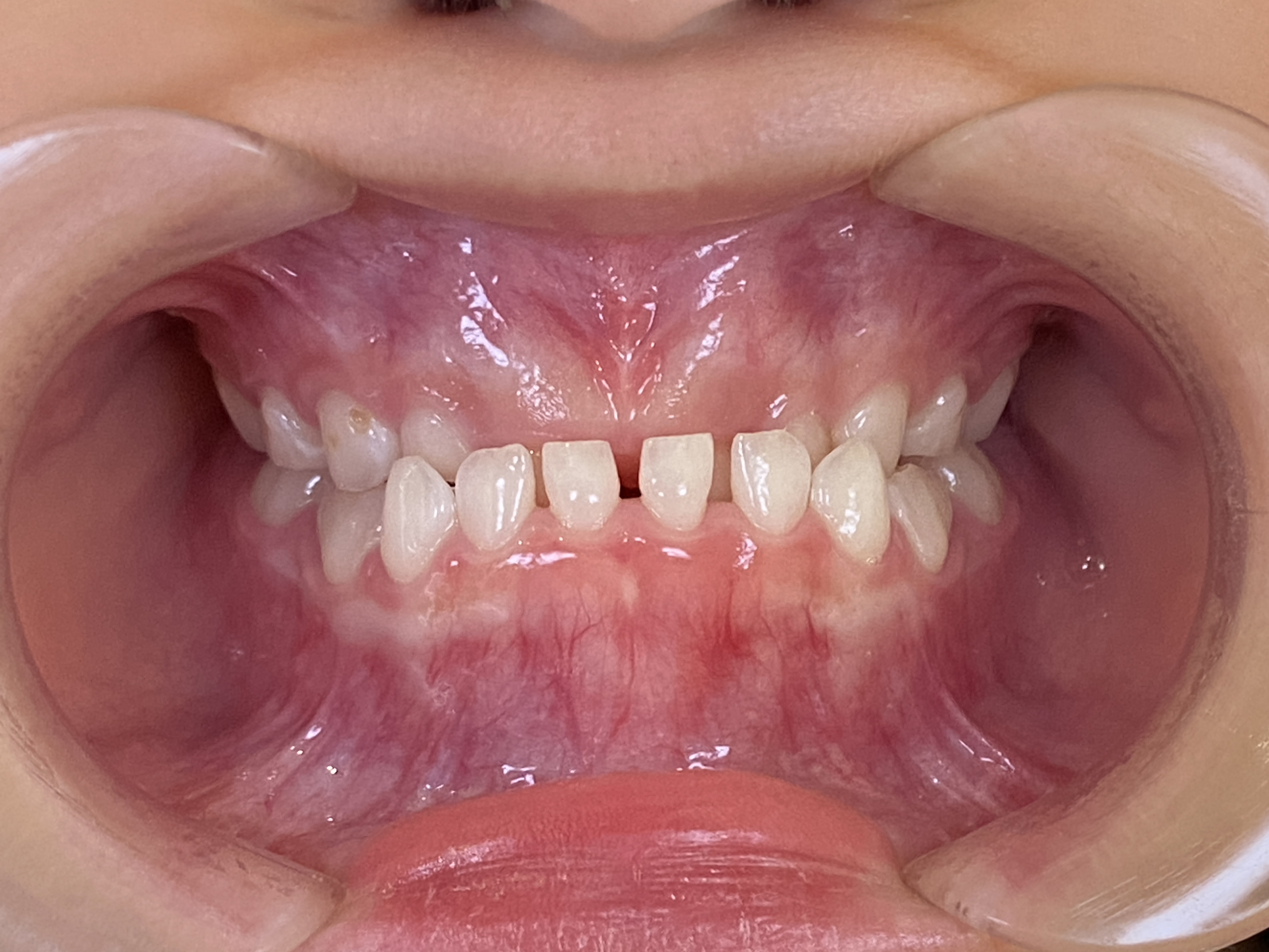
Before
上写真:治療開始前(5歳2か月)
上の前歯が見えないくらいに下の前歯が出ていました。
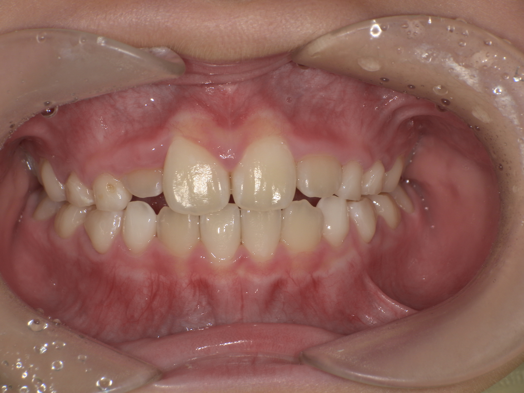
下写真:治療途中(7歳1か月)。反対咬合改善、上顎前歯交換後。
前歯がハの字に広がっている。プレオルソをタイプ1に変更
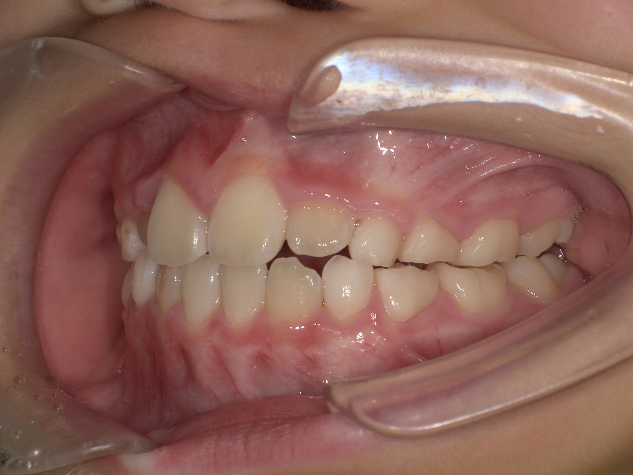
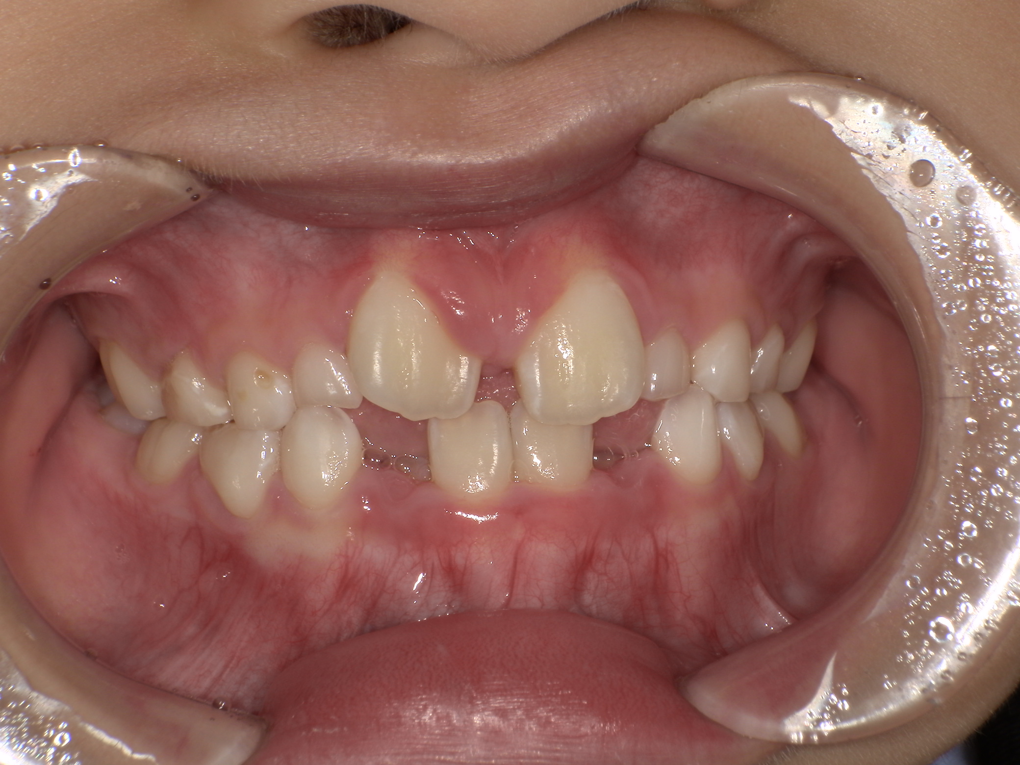
After
治療終了時(8歳5か月)
まだ、上の2番目の前歯は出てきている途中です。
使用装置

プレオルソ タイプ3

プレオルソ タイプ1

マイオタリア
| 主訴(受診背景) | 下の前歯が出ているのが気になる |
|---|---|
| 住所 | 北九州市小倉南区 |
| 既往歴・習癖など | 特になし |
| 診断名 | 下顎前突(反対咬合) |
| 治療開始時の年齢 | 5歳2か月 |
| 治療期間 | 3年3か月 |
| 主な装置 | プレオルソ タイプⅢ&タイプⅠ(歯列咬合誘導矯正装置) |
| 治療費 | 100,000円 |
| 抜歯部位 | なし |
| リスクと副作用 | 歯並びの状態、装置の使用状況、開始時の年齢により改善期間や改善程度に個人差があります。 マイオブレイスを用いたマウスピース矯正は装着時間の徹底とトレーニングを行う必要があります。 顎の成長する期間を過ぎると効果が得られないため、歯並びの状態によりますが、6-8歳頃までに治療を開始することをオススメいたします。
_/_/_/_/_/_/_/_/_/_/_/_/_/_/_/_/_/_/_/_/_/_/_/_/_/_/_/_/ 家族みんなのかかりつけの歯医者さん たんぽぽ歯科・矯正歯科 院長:吉用 卓(よしもち たく) 日本顎咬合学会認定医 福岡県北九州市小倉南区沼本町1丁目10-2 TEL:093-475-4182 歯並び 審美 ホワイトニング 親知らずのご相談随時受付。 _/_/_/_/_/_/_/_/_/_/_/_/_/_/_/_/_/_/_/_/_/_/_/_/_/_/_/_/ |






