部分矯正症例|前歯のガタガタが気になる ORTHODONTIC
2026/03/31
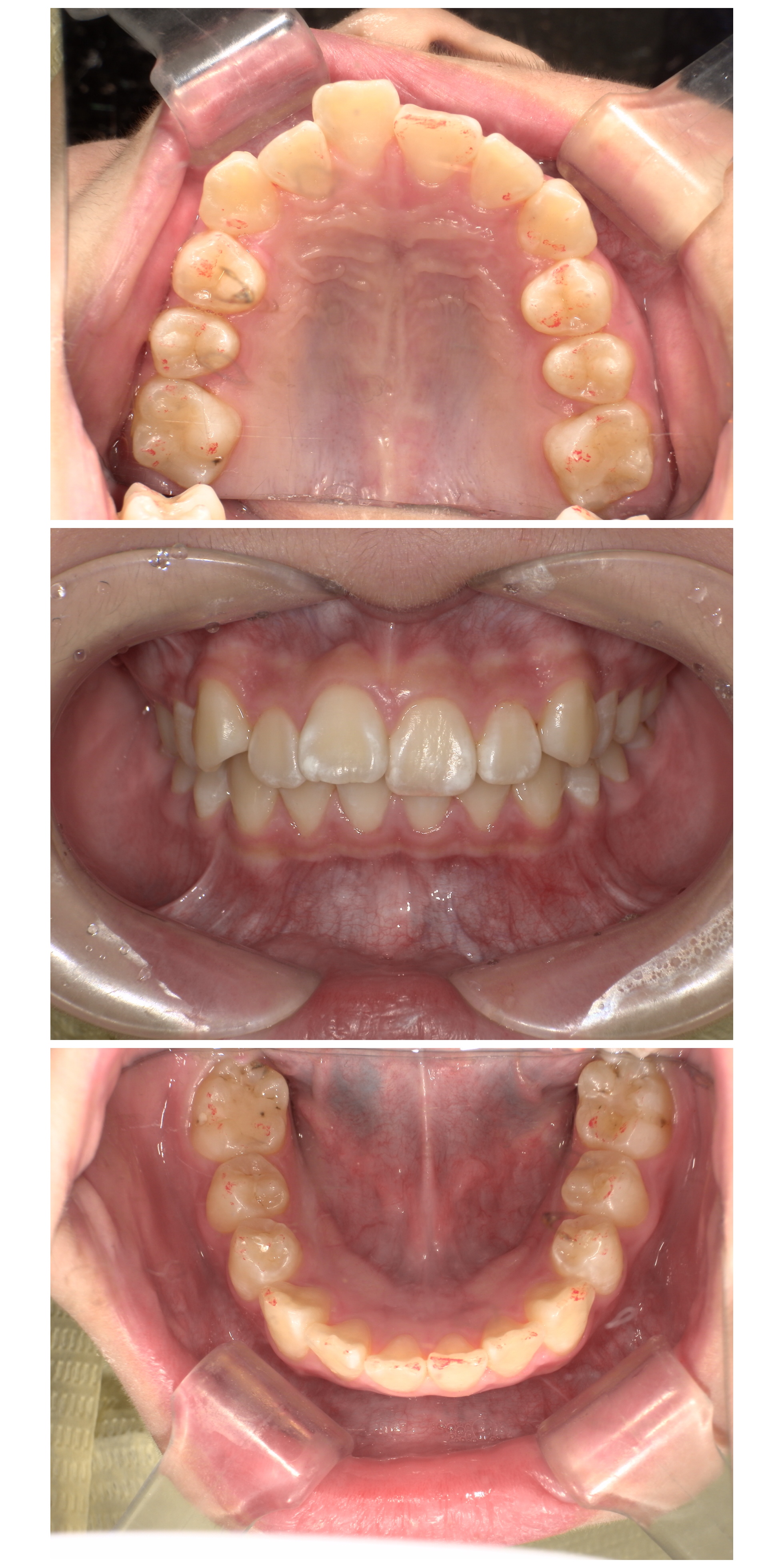
Before
治療開始前
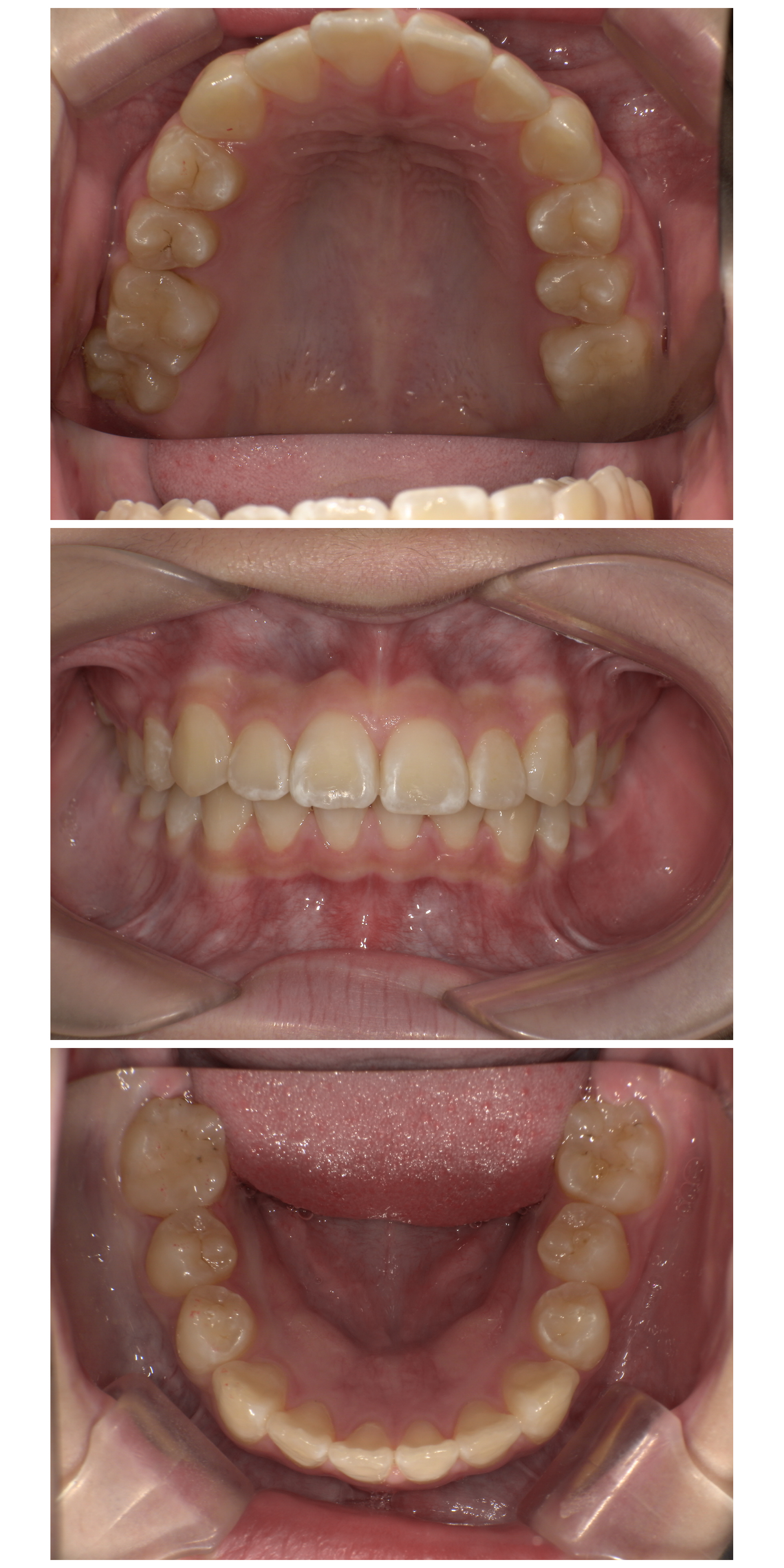
After
治療終了時
| 主訴(受診背景) | 前歯のガタガタが気になる |
|---|---|
| 住所 | 北九州市小倉南区 |
| 既往歴・習癖など | 特になし |
| 診断名 | 叢生(Angle Ⅰ級) |
| 治療開始時の年齢 | 11歳 |
| 治療期間 | 6か月 |
| 主な装置 | プレオルソ タイプⅢ&タイプⅠ(歯列咬合誘導矯正装置) |
| 治療費 | 330,000円、別途検診代(部分矯正の場合 5,500円/回) |
| 抜歯部位 | なし |
| リスクと副作用 | 矯正装置を装着するため、口内炎や発音のしにくさ、違和感を感じることがあります。装置が強く当たると、口内炎になることがあります。 適切な歯の清掃を行わなければ、虫歯になる可能性があります。 治療途中で噛み合わせが安定せず、顎関節症を引き起こす可能性があります。 部分矯正は奥歯に問題のない、軽度の歯の重なりや軽度のすきっ歯等のみ対応でき、すべての方に行えるわけではございません。 矯正治療後に後戻りを起こす場合があります。
_/_/_/_/_/_/_/_/_/_/_/_/_/_/_/_/_/_/_/_/_/_/_/_/_/_/_/_/ 家族みんなのかかりつけの歯医者さん たんぽぽ歯科・矯正歯科 院長:吉用 卓(よしもち たく) 日本顎咬合学会認定医 福岡県北九州市小倉南区沼本町1丁目10-2 TEL:093-475-4182 歯並び 審美 ホワイトニング 親知らずのご相談随時受付。 _/_/_/_/_/_/_/_/_/_/_/_/_/_/_/_/_/_/_/_/_/_/_/_/_/_/_/_/ |






