インビザライン症例|出っ歯になっていることが気になる ORTHODONTIC
2026/04/17
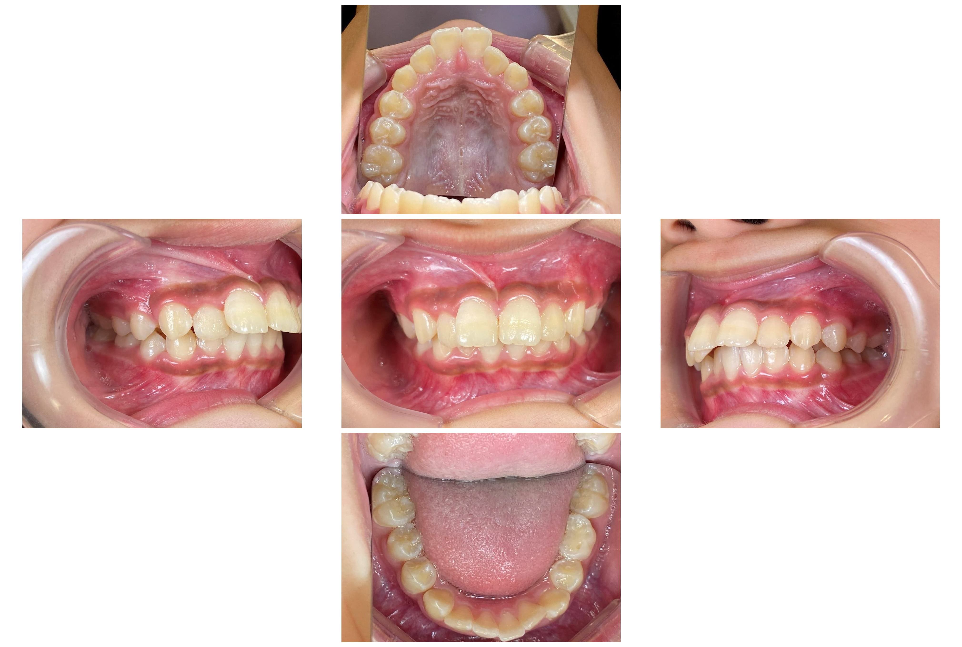
Before
写真1枚目:治療開始時(9歳)プレオルソ
下顎の成長が弱く、上顎前突(出っ歯)となっていたため、
プレオルソを1年半ほど使用し下顎の成長を促しました。
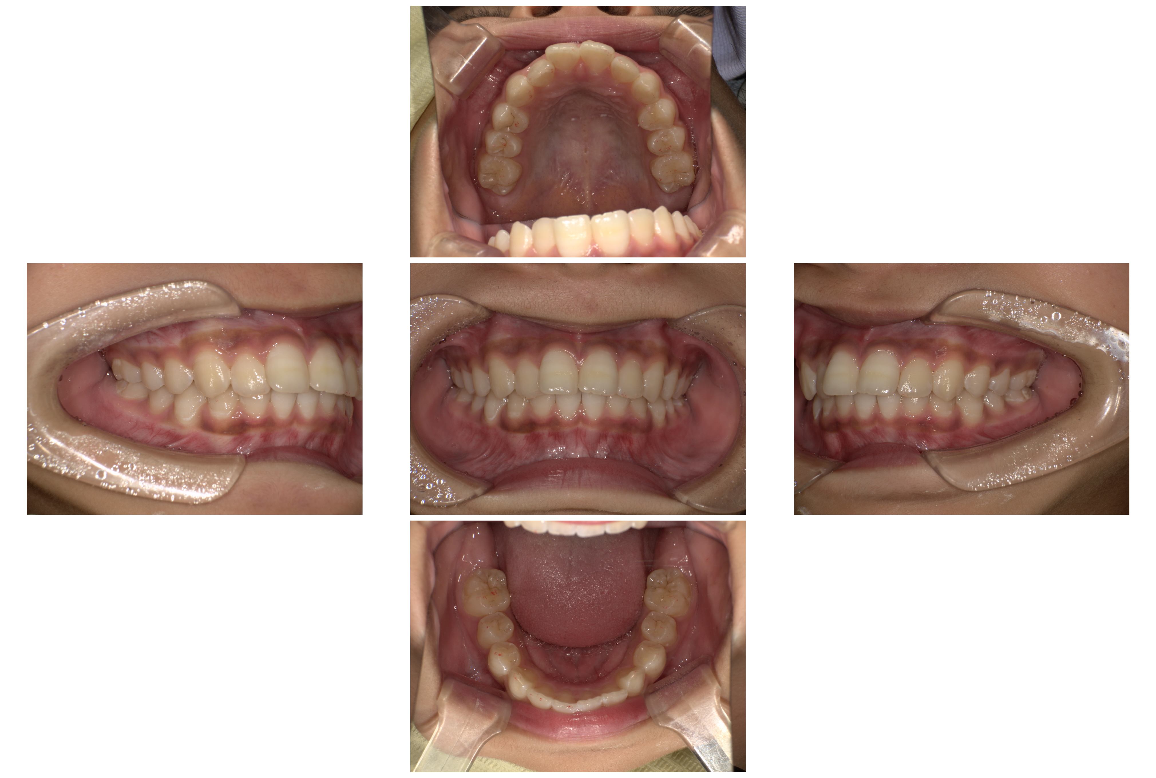
写真2枚目:インビザライン開始時
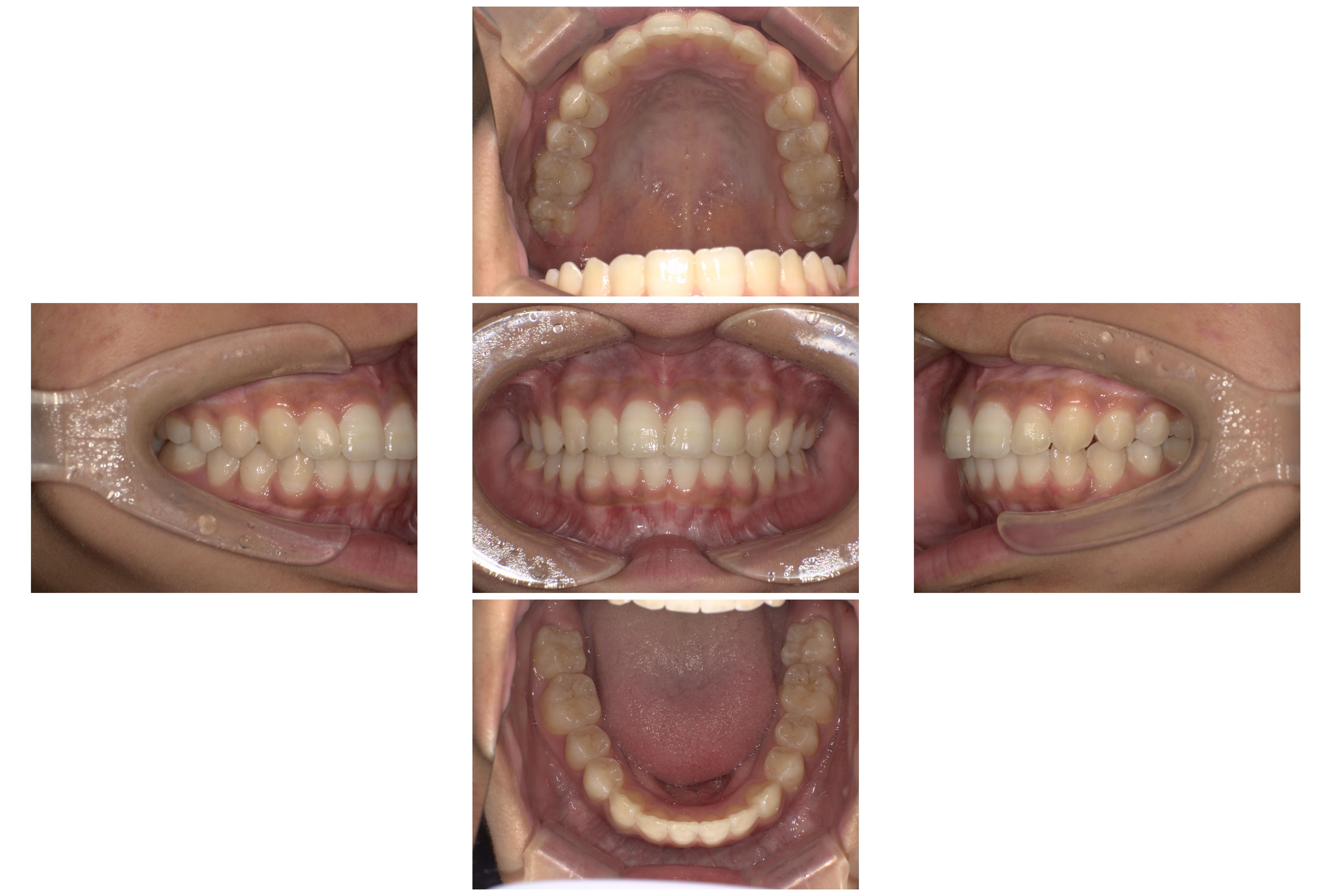
After
治療終了時
| 主訴(受診背景) | 出っ歯になっていることが気になる |
|---|---|
| 住所 | 福岡県苅田町 |
| 既往歴・習癖など | 口唇閉鎖不全 |
| 診断名 | 上顎前突(出っ歯) |
| 治療開始時の年齢 | 9歳 |
| 治療期間 | 4年(歯を移動させた期間は2年半) |
| 主な装置 | マウスピース矯正(プレオルソ・インビザライン) |
| 治療費 | 825,000円 |
| 抜歯部位 | なし |
| リスクと副作用 | マウスピース矯正ではアライナー装置の適切な装着方法と装着時間を守っていただけない場合、計画通りに歯が移動できない可能性があります。 適切な歯の清掃を行わなければ、虫歯になる可能性があります。 治療途中で噛み合わせが安定せず、顎関節症を引き起こす可能性があります。
_/_/_/_/_/_/_/_/_/_/_/_/_/_/_/_/_/_/_/_/_/_/_/_/_/_/_/_/ 家族みんなのかかりつけの歯医者さん たんぽぽ歯科・矯正歯科 院長:吉用 卓(よしもち たく) 日本顎咬合学会認定医 福岡県北九州市小倉南区沼本町1丁目10-2 TEL:093-475-4182 歯並び 審美 ホワイトニング 親知らずのご相談随時受付。 _/_/_/_/_/_/_/_/_/_/_/_/_/_/_/_/_/_/_/_/_/_/_/_/_/_/_/_/ |






