【小児矯正】子供の受け口(反対咬合)はいつから治療した方がいいの?最適な時期と当院の治療方針BLOG
2026/03/27

こんにちは。北九州市小倉南区にある「たんぽぽ歯科・矯正歯科」院長の吉用です。 いつも当院のブログをご覧いただき、誠にありがとうございます。
日々診療を行っている中で、親御さんから寄せられるお子さまの歯並びに関するご相談で非常に多いのが、「受け口(反対咬合)」についてのお悩みです。
「うちの子、下の歯が上の歯より前に出ている気がするけれど、いつから治療を始めたらいいの?」
「もう少し成長するまで様子を見ても、自然に治るものなの?」
といった疑問や不安の声をよく耳にします。
今回のブログでは、多くのお父様・お母様が気になる『子供の受け口はいつから治療した方がいいの?』という疑問に詳しくお答えいたします。
また、当院で受け口の治療に積極的に用いているマウスピース型装置「プレオルソ」のメリットや、万が一プレオルソで改善が見られなかった場合の対応策(リンガルアーチや上顎顎外牽引装置)についても徹底的に解説いたします。
お子さまの受け口が気になっている方は、ぜひ最後までお読みください。

1. 子供の受け口(反対咬合)とは?その原因
受け口(反対咬合)とは?
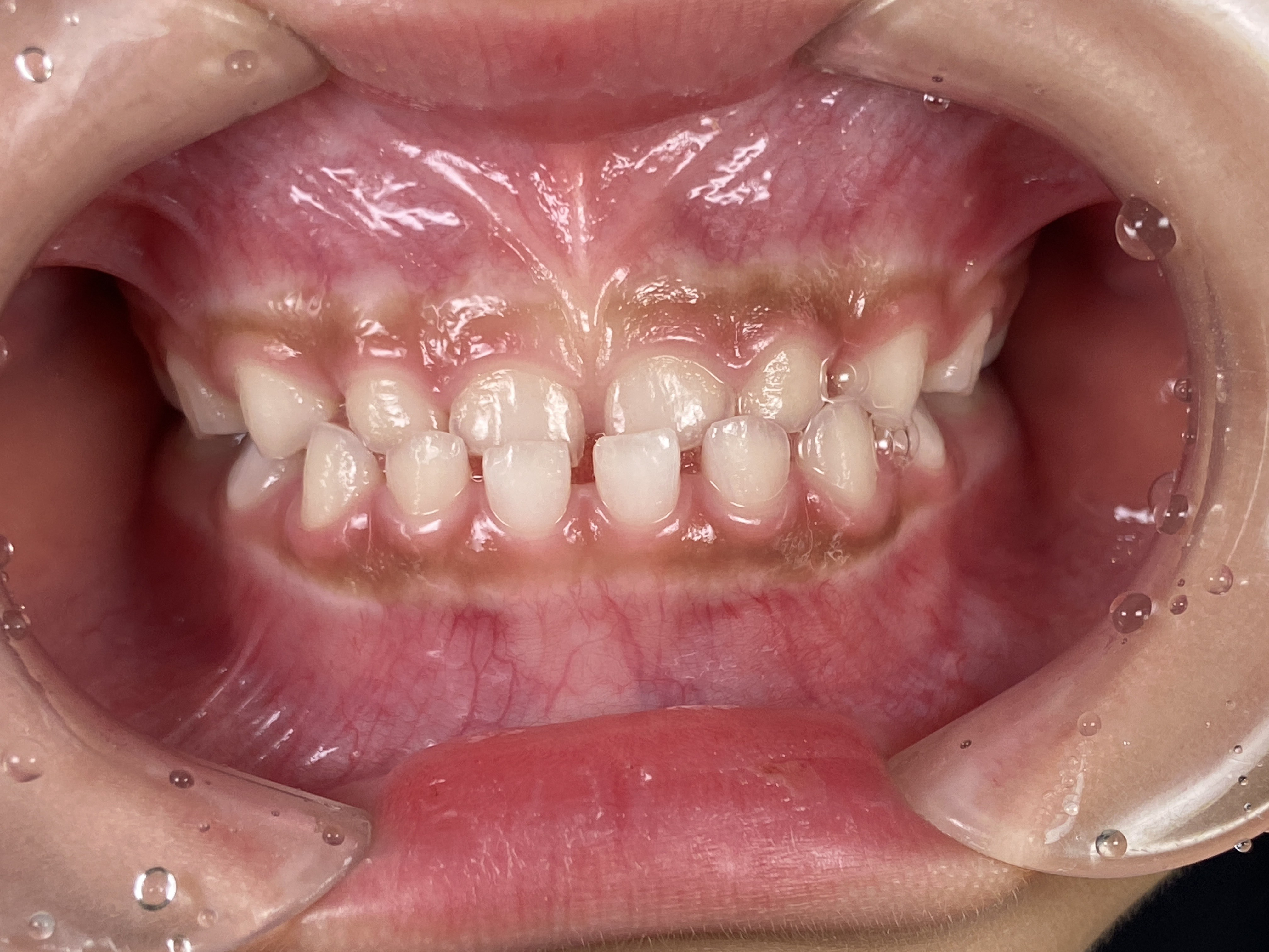
噛み合わせが正常な状態では、上の前歯がわずかに前に出て、下の前歯に2〜3ミリ程度かぶさるのが標準です。これが逆転し、奥歯で噛み合わせたときに下の前歯が上の前歯よりも前に出ている状態を「受け口」や「反対咬合(はんたいこうごう)」、あるいは「下顎前突(かがくぜんとつ)」と呼びます。
なぜ受け口になるの?
受け口になってしまう原因は、大きく「先天的な理由(遺伝)」と「後天的な理由(生活習慣や癖)」の2つに分けられます。
- 遺伝による影響:親御さんや祖父母の骨格(下顎が大きい、上顎が小さいなど)が遺伝するケースです。ご親族に受け口の方がいる場合、お子さまも受け口になる可能性が高くなります。
- 舌の位置や癖(低位舌):本来、お口を閉じているとき、舌は上あごの天井部分(スポット)に軽く触れているのが正しい位置です。しかし、舌が通常より低い位置にある「低位舌(ていいぜつ)」の場合、常に下の前歯を内側から押し出してしまうため、下顎の過剰な成長を促し、受け口になりやすくなります。
- 指しゃぶり・口呼吸などの悪習癖:指しゃぶりや頬杖、口呼吸といった日常的な癖も、お口周りの筋肉のバランスを崩し、上下の顎の正常な発育を妨げる原因となります。

2. 乳歯の受け口は自然に治る?放置するリスク
「まだ乳歯だから、永久歯に生え変わるときに自然に治るかもしれない」と思って様子を見ている親御さんもいらっしゃいます。
確かに、3歳くらいまでであれば自然に治るケースもあると言われています。しかし、最新の研究によると、乳歯列期の受け口が自然治癒する確率はわずか10%〜15%程度とされており、決して高い数字ではありません。 そのため、「そのうち治るだろう」と自己判断で放置してしまうのは非常に危険です。放置してしまうと、以下のようなさまざまな悪影響やリスクが生じます。
- 咀嚼(そしゃく)や消化への悪影響:前歯の噛み合わせが逆転していると、食べ物をうまく噛み切ることが困難になります。その結果、奥歯ばかりで噛んだり丸呑みしたりする癖がつき、胃腸に負担がかかり消化不良を引き起こす原因となります。
- 発音(滑舌)の障害:受け口の状態が続くと、舌の動きに制限が出るため、「サ行」や「タ行」など舌先を使って発音する音が不明瞭になり、滑舌が悪くなることがあります。
- 顔立ち(骨格)への影響:受け口のまま成長期を迎えると、下顎が前方に過剰に成長してしまい、将来的に「しゃくれ」や「三日月顔」と呼ばれるような顔立ちになるリスクがあります。コンプレックスを抱えやすくなるなど、心理的な影響も見逃せません。
- 将来の大掛かりな治療リスク:大人になって骨格が完成してから受け口を治そうとすると、健康な歯を抜歯してスペースを作る必要が出たり、重度の場合は顎の骨を切る外科手術(外科的矯正)が必要になったりするなど、身体的・費用的負担が非常に大きくなります。

3. 受け口はいつから治療した方がいいの?ベストなタイミング
では、子供の受け口はいつから治療を始めるべきなのでしょうか。
結論から申し上げますと、受け口の治療を始めるベストなタイミングは、「5歳〜8歳ごろの混合歯列期(乳歯と永久歯が混在している時期)」です。
この時期は、顎の骨がまだ柔らかく、お口周りの筋肉や舌の使い方も柔軟に変えていけるため、成長の方向を正しい位置へコントロールしやすい「成長のゴールデンタイム」と呼ばれています。 症状によっては、より早い段階である4歳ごろから、機能的なマウスピース装置を用いた早期治療を開始した方が有効なケースもあります。
「まだ乳歯だから大きくなってからでいいのでは」と思うかもしれませんが、受け口に関しては、「早すぎる」ということはありません。乳歯のうちや永久歯が生え始める時期に顎の成長を正しい方向に導くことで、将来の本格的な矯正治療の負担を大幅に減らすことができるのです。

4. なぜ早期治療が必要?「顔の骨の成長」の法則
なぜ5歳〜8歳ごろといった早い段階での治療がそれほど重要なのでしょうか。その理由は、人間の「顔の骨の成長の順番(スキャモンの発育曲線)」にあります。
人間の顔の骨は、①脳を守る頭蓋骨、②上顎骨(上のあご)、③下顎骨(下のあご)の3つの部分に大きく分けられ、それぞれ成長のピークを迎えるタイミングが異なります。
- 頭蓋骨:非常に早い時期からダイナミックに成長し、5歳ごろには大人の約80%程度まで大きくなります。
- 上顎骨(上のあご):脳に近い組織であるため頭蓋骨の成長に似ており、10歳ごろまでには成人の約90%の大きさにまで成長します。
- 下顎骨(下のあご):成長のピークが最も遅く、身長が急激に伸びる思春期(10〜16歳頃)に急激に大きく成長します。
受け口の多くは、上顎の成長が足りないことや、下顎が過剰に成長することが原因です。 つまり、下顎骨が急激に大きくなる思春期を迎える前に、まだ成長が盛んな上顎骨の発育をしっかりと促し、上下の顎のバランスを整えてあげることが、受け口治療の最大の鍵となるのです。
下顎が大きく成長しきった思春期以降では、骨格のズレが固定されてしまうため、装置による成長コントロールが難しくなってしまいます。

5. 当院の受け口治療の第一選択「プレオルソ」の特徴
北九州市小倉南区のたんぽぽ歯科・矯正歯科では、小児の受け口(反対咬合)の治療に対して、お口周りの筋肉を整える機能的顎矯正装置「プレオルソ」を第一選択として積極的に用いております。
プレオルソは、柔らかい素材(ポリウレタンなど)で作られた、ご自身で取り外しができるマウスピース型の小児矯正装置です。 一般的なワイヤー矯正のように「歯に強い力をかけて無理やり動かす」装置ではなく、顎の発育や舌の位置、お口周りの筋肉のバランスを整えることで、お子さまが本来持っている自然な成長の力を利用して正しい歯並びへと導くのが特徴です。
プレオルソのメリット
- 痛みが少なく安全:柔らかい素材のため、装着時の痛みや違和感が少なく、小さなお子さまでも嫌がらずに続けやすい装置です。
- 日常生活への負担が少ない:装着時間は「日中の1時間」と「就寝時」のみが基本です。学校や幼稚園につけていく必要がないため、お友達の目が気になったり、給食の邪魔になったりする心配がありません。食事や歯磨きもいつも通り行えます。
- 悪習癖(口呼吸や低位舌)の改善:プレオルソを装着することでお口の周りの筋肉が鍛えられ、自然と舌が正しい位置へ誘導されます。これにより、「お口ポカン」の原因となる口呼吸から、健康的な鼻呼吸への改善が期待できます。

6. 【当院の実績】プレオルソで9割が改善!治らない1割への対応策
たんぽぽ歯科・矯正歯科でプレオルソ治療を開始した結果、約9割程度のお子さまたちは、プレオルソ単独の治療で反対咬合がきれいに改善してくれています。 プレオルソを正しく装着し、舌やお口の周りの筋肉を正しく使えるようになるためのトレーニングをご自宅で併用していただくことで、早いお子さまであれば数ヶ月で前歯の噛み合わせが正常な位置へと変化します。
しかし、プレオルソは非常に優秀な装置ですが、すべての症例において万能というわけではありません。当院のこれまでの治療実績でも、残り1割程度の方にはプレオルソだけでは十分な改善がみられないケースが存在します。 これは、遺伝的な骨格のズレが非常に大きかったり、装着時間や習慣がどうしても守れなかったりする場合に起こります。
「プレオルソで治らなかったらどうなるの?」と不安に思われるかもしれませんが、ご安心ください。たんぽぽ歯科・矯正歯科では、「プレオルソだけでは改善が難しい」と判断した場合、そこで治療を諦めることは決していたしません。 お子さまの骨格やお口の状態に合わせて、より確実な効果が期待できる以下の専門的な装置へとステップアップし、最後まで責任を持って治療を進めていきます。
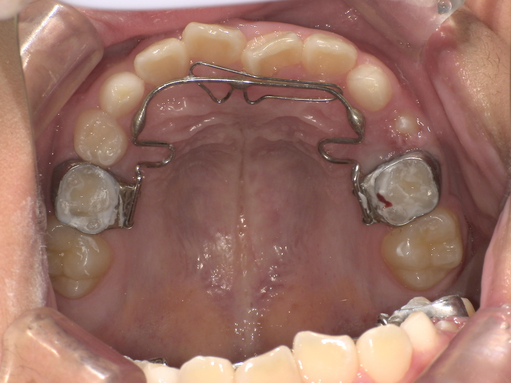
① リンガルアーチによる治療
リンガルアーチは、歯の裏側に沿わせて装着する太いワイヤーに、バネのように弾性のある細いワイヤーを取り付けた固定式の装置です。 この細いワイヤーの力を利用して、内側に引っ込んでいる上の前歯をピンポイントで外側(前方)へと確実に押し出します。歯の傾きが主な原因となっている受け口に対して、持続的かつ非常に高い効果を発揮します。
② 上顎顎外牽引装置(フェイスマスク)による治療
骨格的に上顎の成長が著しく不足している場合や、下顎が前へ出すぎている骨格性の受け口には、「上顎顎外牽引装置(フェイスマスク)」を使用します。 これは、お顔(おでこと顎)に装着するマスク型の装置から、お口の中の装置にかけてゴムをかけ、そのゴムの引っ張る力を利用して、上顎の骨全体を前方へ力強く牽引し、成長を促す装置です。 少し大掛かりな見た目に驚かれるかもしれませんが、使用するのは夜寝る時(就寝時)のみですので、学校に付けていく必要はありません。骨格性の強い反対咬合には非常にシャープで確実な効果があり、将来の顎の骨を切る外科手術を回避するための非常に強力な手立てとなります。
このように、当院ではプレオルソで9割のお子さまを改善に導きつつ、残り1割の難しいケースに対しても、リンガルアーチやフェイスマスクといった適切な装置を用いて、しっかりと受け口の改善をサポートいたします。

7. まとめ:受け口治療は「気になった時が相談のタイミング」
今回の記事では、子供の受け口(反対咬合)はいつから治療した方がいいのか、その最適な時期とたんぽぽ歯科・矯正歯科の治療方針についてお話ししました。
- 受け口は自然に治る確率が低く、放置すると骨格のゆがみや発音障害、将来の外科手術のリスクにつながります。
- 治療を始めるベストなタイミングは、顎の骨の成長をコントロールしやすい「5歳〜8歳ごろの混合歯列期」です。
- 当院では痛みが少なく負担の少ない「プレオルソ」を使用し、約8割のお子さまの受け口が改善しています。
- 残りの改善が難しい約1割のケースに対しても、リンガルアーチや上顎顎外牽引装置(フェイスマスク)を用いて確実に対応しています。
子供の小児矯正の最大のメリットは、「お子さま自身の成長する力を味方につけられること」です。大人になってからではできない、骨格そのもののバランスを整える治療が、今なら可能です。
「もしかしてうちの子、受け口かも?」「まだ早いかもしれないけれど、いつから相談に行けばいいの?」と少しでも気になられたら、お一人で悩まずに、ぜひお早めにご相談ください。「気になったその時」が、将来の負担を減らすためのベストな相談タイミングです。
北九州市小倉南区のたんぽぽ歯科・矯正歯科では、お子さま一人ひとりのお口や骨格の状態に合わせた最適な治療をご提案いたします。大切なお子さまの将来の健やかな笑顔と健康を守るため、スタッフ一同、心よりお待ちしております。す。
北九州市小倉南区のたんぽぽ歯科・矯正歯科では、お子さま一人ひとりのお口や骨格の状態に合わせた最適な治療をご提案いたします。大切なお子さまの将来の健やかな笑顔と健康を守るため、スタッフ一同、心よりお待ちしております。

_/_/_/_/_/_/_/_/_/_/_/_/_/_/_/_/_/_/_/_/_/_/_/_/_/_/_/_/
家族みんなのかかりつけの歯医者さん
たんぽぽ歯科・矯正歯科
院長:吉用 卓(よしもち たく)
国立大学 長崎大学歯学部出身
日本顎咬合学会認定医
福岡県北九州市小倉南区沼本町1丁目10-2
HP:https://www.tanpopo-kokura.jp
TEL:093-475-4182
歯並び 審美 ホワイトニング 親知らずのご相談随時受付。
診療科目:一般歯科 口腔外科 小児歯科 矯正歯科
_/_/_/_/_/_/_/_/_/_/_/_/_/_/_/_/_/_/_/_/_/_/_/_/_/_/_/_/







