診療時間
〒800-0208福岡県北九州市小倉南区沼本町1丁目10-2
※ご希望の日時に空きがない場合、電話にてご相談下さい
2025/10/23 ブログ
〖保存版〗医療費控除とは?―知らないと損する“自費治療が実質おトク”になる仕組み
【歯科医師が解説】医療費控除で歯科治療費はいくら戻る?北九州市でインプラント・矯正を賢く受ける方法 北九州市小倉南区やその周辺にお住まいの皆様。 「歯並びをきれいにしたい」 「失った歯をインプラントで補いたい」 「子…
2025/10/09 求人ブログ
新しい職場で働く不安を解消!たんぽぽ歯科・矯正歯科での歯科衛生士の一日をのぞいてみませんか?
新しい職場で働く不安を解消!たんぽぽ歯科・矯正歯科での歯科衛生士の一日をのぞいてみませんか? 北九州市小倉南区で歯科衛生士のお仕事を探されている皆様、また歯科衛生士専門学校で学ばれている学生の皆様、新しい職場で働くことは期待とともに、少…
2025/09/10 求人ブログ
院内研修の様子の動画を公開しました♪
2025/09/02 ブログ
【小倉南区の歯医者】増築リニューアル!親子診療室が4部屋に!保育士託児も始まり、子連れでさらに通いやすくなりました
北九州市小倉南区やその周辺にお住まいの、子育てを頑張るお父さん・お母さんへ。 「自分の歯の治療をしたいけど、子どもを預け先がなくて…」 「下の子が小さいから、上の子の治療に一緒に連れて行けない…」 「ベビーカ…
2025/08/19 ブログ
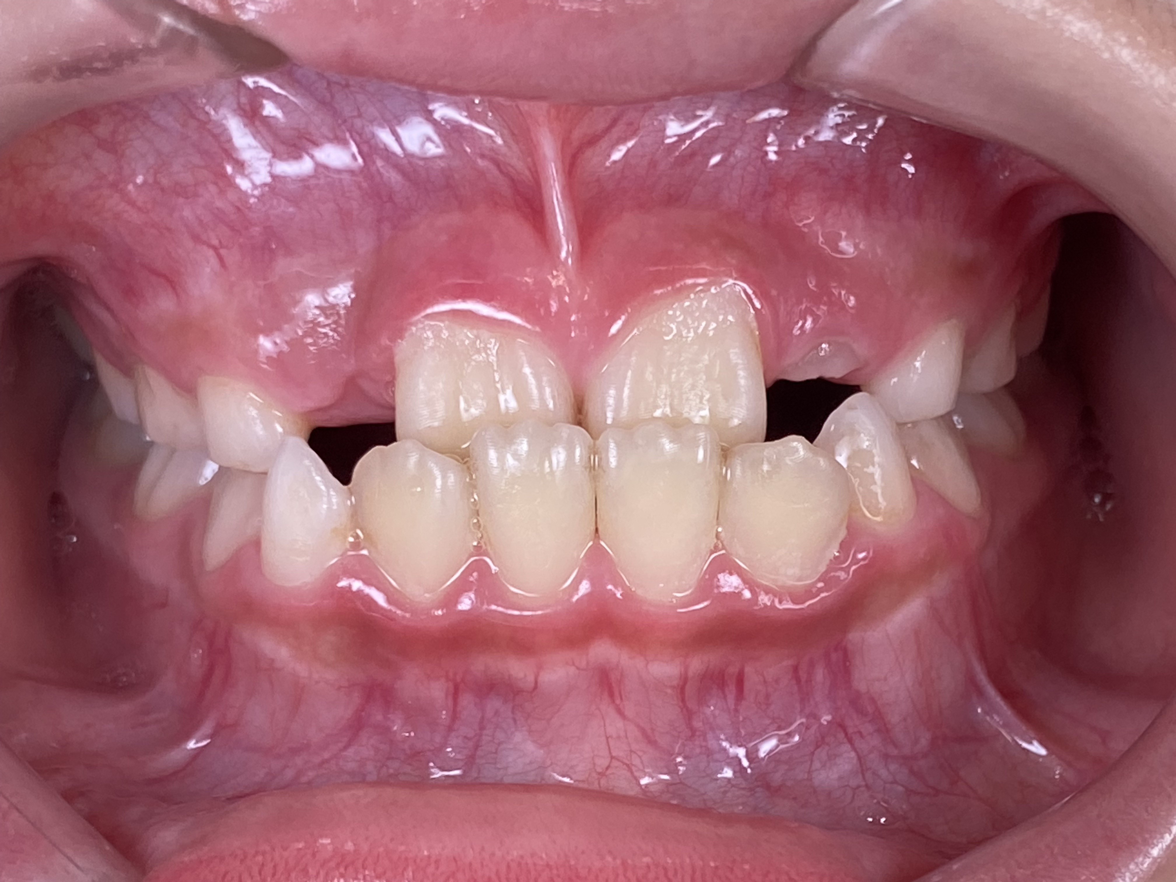
北九州市で前歯の白い斑点(ホワイトスポット)にお悩みの方へ - 削らないホワイトスポット治療「アイコン」とは?
北九州市で前歯の白い斑点(ホワイトスポット)にお悩みの方へ - 削らないホワイトスポット治療「アイコン」とは? 「笑うと前歯の白い模様が目立ってしまう...」 「写真に写る自分の歯の白い斑点が気になる...」 あなたは、…
2025/08/13 ブログ
【北九州市のブライダル矯正】結婚式を最高の笑顔で!歯並びとホワイトニングのお得なプラン|たんぽぽ歯科・矯正歯科
【北九州市のブライダル矯正】結婚式を最高の笑顔で!歯並びとホワイトニングのお得なプラン|たんぽぽ歯科・矯正歯科 プロポーズされた、結婚式の日取りが決まった! 人生で最も輝く瞬間を迎えようとしているあなたへ。 心から「おめ…
2025/07/30 ブログ
お子様連れでも安心!北九州市小倉南区「たんぽぽ歯科・矯正歯科」で無料託児スタート
「歯医者に行きたいけど、子どもがいるからなかなか…」 北九州市にお住まいの小さなお子さんを持つお母さん方、こんなお悩みはありませんか? 「治療中に子どもが泣き出したらどうしよう」 「他の患者さんに迷惑がかかるんじゃないか」 …
2025/06/09 ブログ
【北九州市の矯正歯科】日本顎咬合学会で発表|常に学び、最善の治療を地域の皆様へ
こんにちは。北九州市小倉南区の歯医者「たんぽぽ歯科・矯正歯科」の院長の吉用(よしもち)です。 紫陽花が雨に映える季節となりましたが、皆様いかがお過ごしでしょうか。 さて、先日、東京国際フォーラムで開催されました…
2025/05/26 ブログ
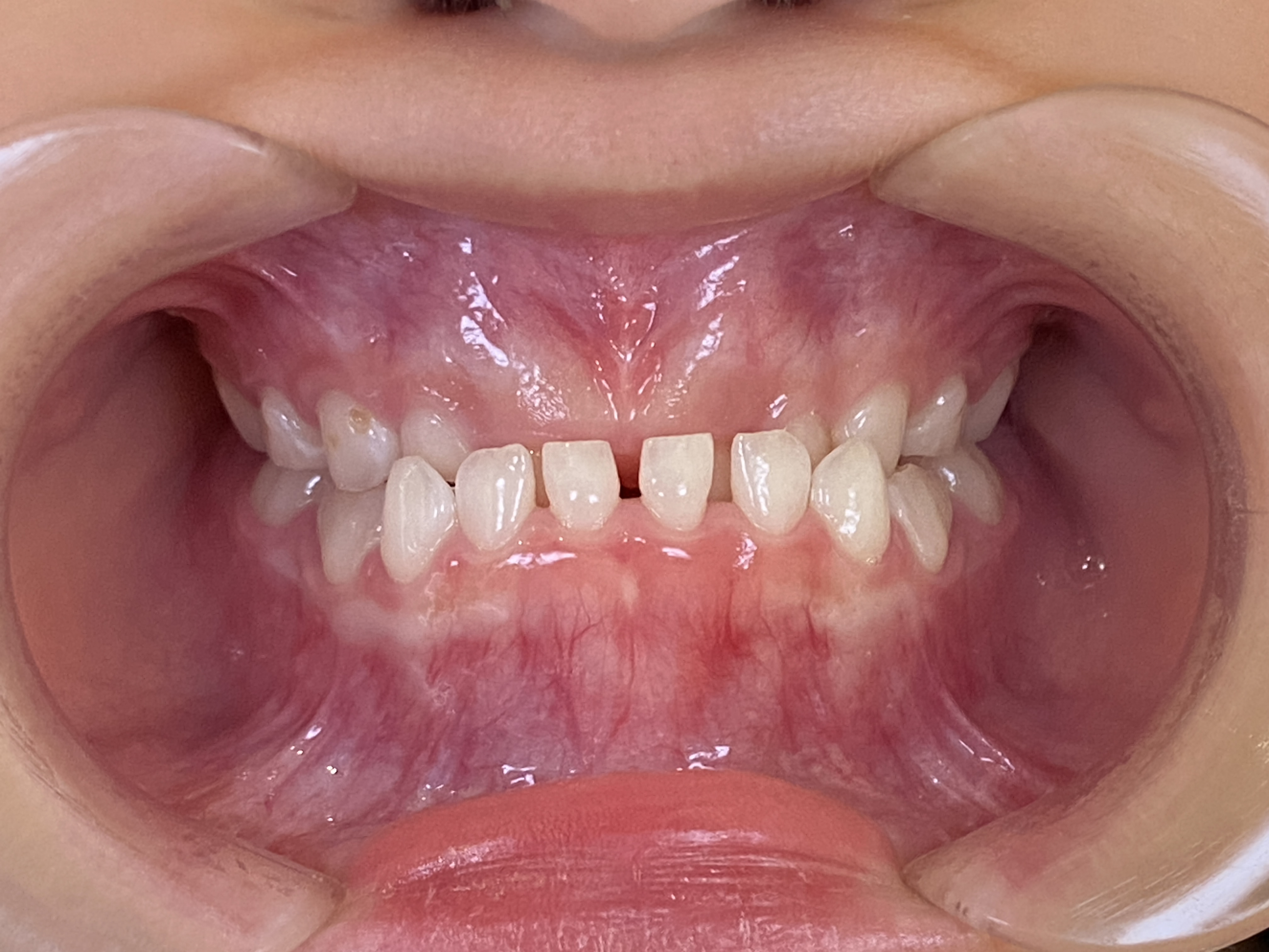
【北九州市小倉南区】お子様の歯並び、気になりませんか? マウスピース矯正という選択肢|たんぽぽ歯科・矯正歯科
「うちの子、前歯が永久歯に生え変わってきたけど、なんだか捻じれて生えてきたみたい…」 「歯と歯が重なっていて、このままで大丈夫かしら?」 大切なお子様の永久歯が生え始めた頃、このように歯並びについて驚かれたり、心配にな…
2025/05/07 ブログ
プレオルソは何歳まで?小児矯正を始める最適な年齢とは?
【北九州 矯正】プレオルソは何歳まで?小児矯正を始める最適な年齢とは? 「うちの子の歯並び、なんだか気になるな…」 北九州市にお住まいの、子育て真っ最中のママさん、こんにちは!お子様の成長は嬉しいものですが、歯並びのことで少し心配になること…