
こんにちは。北九州市小倉南区にある「たんぽぽ歯科・矯正歯科」院長の吉用です。 いつも当院のブログをご覧いただき、誠にありがとうございます。
親御さんから寄せられるお子さまの歯並びに関するご相談の中で、特に多いのが「受け口」に関するお悩みです。
「下の歯が上の歯より前に出ている気がする」
「このままで自然に治るの?」
と不安に感じられている方は少なくありません。 当院では、お子さまの受け口(反対咬合)の治療に対して、お口周りの筋肉を整えるマウスピース型矯正装置「プレオルソ」を用いた治療を積極的に行っております。
今回のブログでは、多くのお父様・お母様からご質問いただく『反対咬合はプレオルソで治るの?』という疑問にお答えするとともに、当院での治療実績や、万が一プレオルソで治らなかった場合の治療の選択肢(リンガルアーチや上顎顎外牽引装置など)についても詳しく解説していきます。
お子さまの受け口が気になっている方は、ぜひ最後までお読みください。
1. 子供の反対咬合(受け口)とは?原因と放置するリスク
反対咬合(受け口)とは?
反対咬合(はんたいこうごう)とは、奥歯を噛み合わせたときに、下の前歯が上の前歯よりも前に出ている状態のことです。「受け口」や「下顎前突」とも呼ばれます。正常な噛み合わせでは、上の前歯が下の前歯に2〜3ミリ程度かぶさるのが標準です。
なぜ反対咬合になるの?
反対咬合になる原因は大きく分けて「先天的な理由(遺伝)」と「後天的な理由(癖や習慣)」の2つがあります。
- 遺伝による影響:親御さんや祖父母の骨格(下顎が大きい、上顎が小さいなど)が遺伝するケースです。
- お口の悪い癖(悪習癖):日常的な癖が原因で歯並びが乱れることがあります。特に多いのが、舌の位置が通常より低く、常に下の前歯を押してしまう「低位舌(ていいぜつ)」や、指しゃぶり、口呼吸、爪を噛む癖などです。
-
-
-
-
-
-
-
-
-
-
-
-
-
-
-
放置するとどうなるの?リスクについて
「乳歯のうちは様子を見てもいいのでは?」と思われるかもしれませんが、乳歯期の反対咬合が永久歯になっても自然治癒する確率は約10%〜15%程度と言われており、決して高くありません。放置してしまうと、以下のようなリスクが生じます。
- 顔立ち(骨格)への影響:受け口のまま成長すると、下顎が前方に過剰に成長してしまい、将来的に「しゃくれ」や「三日月顔」と呼ばれるような顔立ちになることがあります。
- 咀嚼(そしゃく)や発音の障害:前歯で食べ物をうまく噛み切れないため、胃腸に負担がかかったり、サ行やタ行の発音がしにくくなったりします。
- 将来の治療負担の増大:大人になってから治そうとすると、健康な歯を抜歯する必要が出たり、重度の場合は顎の骨を切る外科手術(外科的矯正)が必要になったりするリスクが高まります。
-
-
-
-
-
-
-
-
-
-
-
-
-
-
-
-
-
-
-
-
-
-
-
-
-
-
-
-
-
-
-

2. 反対咬合の治療に効果的な「プレオルソ」とは?
お子さまの反対咬合の治療において、現在非常に注目されているのが「プレオルソ」というマウスピース型の小児矯正装置です。
プレオルソの特徴とメリット
プレオルソは、一般的なワイヤー矯正のように「歯に強い力をかけて無理やり動かす」装置ではありません。顎の発育や舌の位置、お口周りの筋肉のバランスを整えることで、自然な成長の力を利用して正しい歯並びへと導く装置です。
このアプローチは歯科専門用語で「咬合誘導(こうごうゆうどう)」と呼ばれます。
プレオルソには以下のような多くのメリットがあります。
- 痛みが少ない:柔らかい素材で作られているため、装着時の痛みや違和感が非常に少なく、小さなお子さまでも嫌がらずに続けやすいのが特徴です。
- 日常生活への負担が少ない:装着時間は「日中の1時間」と「就寝時」のみが基本です。学校や幼稚園につけていく必要がないため、いじめや紛失の心配がありません。
- お口の悪い癖も改善できる:装置をつけることで、自然と舌が正しい位置(上あご側)に誘導され、口呼吸から鼻呼吸への改善が期待できます。これにより、後戻りしにくい根本的な治療が可能になります。
-
-
-
-
-
-
-
-
-
-
-
-
-
-
-
-
-
-
-
-
-
-
-
-
-
-
-
-
-
-
-

3. 当院でのプレオルソ治療の実績(約9割のお子さまが改善!)
たんぽぽ歯科・矯正歯科では、小児の反対咬合に対して、お子さまの心身への負担が少ないプレオルソを第一選択として治療を行っております。
実際に当院でプレオルソ治療を開始した結果、約9割程度のお子さまたちは、プレオルソ単独の治療で反対咬合がきれいに改善してくれています。
早いお子さまであれば、プレオルソを使い始めて数ヶ月から半年程度で、前歯の噛み合わせが正常な位置(上の歯が前にくる状態)へと変化する効果がみられます。
お口の筋肉を正しく使えるようになるためのトレーニング(MFT:口腔筋機能療法)をご自宅で併用していただくことで、骨格の成長が正常な軌道に乗り、永久歯が並ぶためのきれいな土台を作ることができます。 痛みが少なく、取り外しもできるプレオルソは、お子さまにとっても親御さんにとってもストレスの少ない「やさしい矯正治療」と言えます。

4. プレオルソで「治らない」残り1割のケースと当院の対応策
プレオルソは非常に優秀な装置ですが、万能というわけではありません。当院のデータでも、残り1割程度の方にはプレオルソだけでは十分な改善がみられないケースが存在します。
なぜプレオルソで改善しないのか?
プレオルソで効果が出にくいケースとしては、以下のような理由が挙げられます。
- 顎の骨格的なズレが大きすぎる場合:下顎が著しく大きい、あるいは上顎が極端に小さいなど、遺伝的な骨格の要因が強い場合は、筋肉のバランスを整えるだけでは対応しきれないことがあります。
- 装着時間や習慣が守れない場合:プレオルソはご自身で取り外しができる分、日中の1時間や就寝時の装着をサボってしまうと、効果を発揮できません。
-
-
-
-
-
-
-
-
-
-
-
-
-
-
-
当院での対応策:リンガルアーチや上顎顎外牽引装置への移行
たんぽぽ歯科・矯正歯科では、定期的なチェックで「プレオルソだけでは改善が難しい」と判断した場合、決してそのままにはいたしません。状況に応じて、より確実な効果が期待できる以下の装置へとステップアップし、治療を進めていきます。
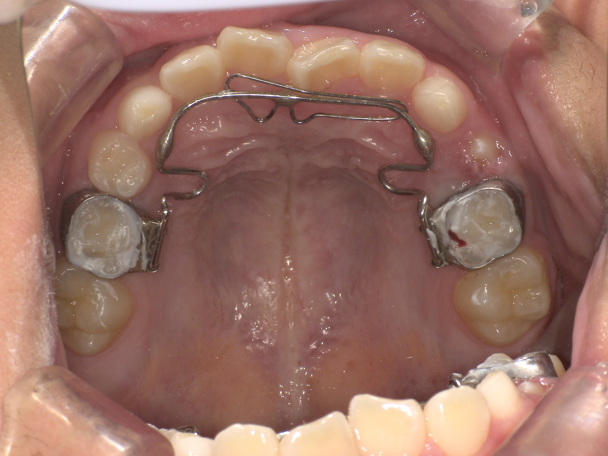
① リンガルアーチによる治療 リンガルアーチは、歯の裏側に沿わせて装着する太いワイヤーに、バネのように弾性のある細いワイヤーを取り付けた装置です。この細いワイヤーの力を利用して、内側に引っ込んでいる上の前歯をピンポイントで外側(前)へと押し出します。固定式の装置になるため、確実な力を持続的に歯にかけることができ、歯の傾きが原因の反対咬合に対して高い効果を発揮します。
② 上顎顎外牽引装置(フェイスマスク)による治療 骨格的に上顎の成長が著しく不足している場合や、下顎が前へ出すぎている場合には「上顎顎外牽引装置(フェイスマスク)」を使用します。これは、お顔に装着するマスク型の装置からゴムの力を使って、上顎の骨全体を前方へ力強く引っ張り(牽引し)、成長を促す装置です。 少し大掛かりに見えますが、使用するのは夜寝る時(就寝時)のみですので、学校に付けていく必要はありません。骨格性の強い反対咬合には非常にシャープで確実な効果があり、将来の顎の手術を回避するための強力な手立てとなります。
このように、当院ではプレオルソで8割を改善に導きつつ、残り1割の難しいケースに対しても、リンガルアーチや上顎外牽引装置といった適切な専門装置を用いて、責任を持って最後まで反対咬合の改善をサポートいたします。

5. 反対咬合の治療を始めるベストなタイミング
「うちの子の受け口、いつから治療を始めればいいの?」というご質問をよくいただきます。 結論から申し上げますと、プレオルソを使った治療を始めるベストなタイミングは、「4歳〜8歳ごろの混合歯列期(乳歯と永久歯が生え変わる時期)」です。
この時期は、顎の骨がまだ柔らかく、お口周りの筋肉や舌の使い方も柔軟に変えていける「成長のゴールデンタイム」です。 とくに受け口の場合は、上顎の成長が十分に追いつかないことで進行しやすいため、下顎の骨が本格的に大きく成長してしまう前の、早い段階で顎の成長方向を整えてあげることが非常に重要になります。
もちろん、お子さま一人ひとりによって顎の発育状況や永久歯の生え変わりのスピードは異なります。場合によっては3〜4歳からの早期治療が有効なケースもありますし、9歳頃からでも治療が間に合うケースもあります。 大切なのは「気になったその時に、まずは一度相談していただくこと」です。

6. まとめ:受け口の早期発見・早期治療の大切さ
今回の記事では、子供の反対咬合(受け口)とプレオルソ治療について、たんぽぽ歯科・矯正歯科の現状を踏まえてお話ししました。
- 受け口は自然に治る確率が低く、放置すると骨格のゆがみや将来の抜歯・手術のリスクにつながる。
- 当院では痛みが少なく負担の少ない「プレオルソ」を使用し、約9 割のお子さまの反対咬合が改善している。
- 残りの約1割の改善が難しいケースに対しても、リンガルアーチや上顎顎外牽引装置を用いてしっかりと対応している。
- 治療の開始は、顎の成長をコントロールできる4〜8歳頃がベスト。
-
-
-
-
-
-
-
-
-
-
-
-
-
-
-
-
-
-
-
-
-
-
-
-
-
-
-
-
-
-
-
子供の矯正治療(小児矯正)の最大のメリットは、「お子さま自身の成長する力を味方につけられること」です。大人になってからではできない、骨格そのもののバランスを整える治療が、今なら可能です。
たんぽぽ歯科・矯正歯科では、お子さまの将来の健やかな笑顔と健康を守るため、一人ひとりのお口の状態に合わせた最適な治療をご提案いたします。 「もしかして受け口かな?」と少しでも気になられたら、お一人で悩まずに、北九州市小倉南区のたんぽぽ歯科・矯正歯科までお気軽にご相談ください。 スタッフ一同、心よりお待ちしております。
_/_/_/_/_/_/_/_/_/_/_/_/_/_/_/_/_/_/_/_/_/_/_/_/_/_/_/_/
家族みんなのかかりつけの歯医者さん
たんぽぽ歯科・矯正歯科
院長:吉用 卓(よしもち たく)
国立大学 長崎大学歯学部出身
日本顎咬合学会認定医
福岡県北九州市小倉南区沼本町1丁目10-2
HP:https://www.tanpopo-kokura.jp
TEL:093-475-4182
歯並び 審美 ホワイトニング 親知らずのご相談随時受付。
診療科目:一般歯科 口腔外科 小児歯科 矯正歯科
_/_/_/_/_/_/_/_/_/_/_/_/_/_/_/_/_/_/_/_/_/_/_/_/_/_/_/_/